Efficacy of micronized progesterone-based preparations used to prevent placental insufficiency: an experimental study
Galina A. Batishcheva¹, Yana V. Zolotukhina², Victoria V. Shishkina¹, Natalia V. Khoroshikh¹, Tatyana V. Samoylenko¹, Olga D. Zhilyaeva¹, Svetlana N. Zolotareva¹, Elena E. Ivanova¹, Anna O. Khoroshikh ³
1 N.N. Burdenko Voronezh State Medical University; 10 Studencheskaya St., Voronezh 394036 Russian Federation
2 Voronezh Regional Scientific Clinical Center; 4 Vaitsekhovsky St., Voronezh 394036 Russian Federation
3 Russian Center for Neurology and Neuroscience; 80 Volokolamskoe Highway, Moscow 125367 Russian Federation
Corresponding author: Yana V. Zolotukhina (yana.arzhanyh@yandex.ru)
Abstract
Introduction: Progestogen-based drugs have anti-ischemic, antispasmodic, and immunomodulatory effects. Therefore, studying the effect of micronized progesterone (MP) on the inflammatory process in the placenta is of great importance.
Materials and Methods: Four observation groups were formed: Control Group 1 (CG1, n=6) – intact rats; Control Group 2 (CG2, n=6) – pregnant rats with simulated placental insufficiency; Experimental Group 1 (EG1, n=7) – rats with simulated placental insufficiency that received MP dosage 20 mg/day; Experimental Group 2 (EG2, n=7) – rats with simulated placental insufficiency that received MP dosage 40 mg/day. An analysis of the placenta, anthropometric parameters of the fetuses, and physical development parameters of the offspring was conducted. Histological and immunohistochemical analyses of the placentas were performed.
Results and Discussion: Miscarriage was observed in 16% of animals from CG2, which did not receive MP therapy, compared to rats from CG1. In intact CG1 and EG1 rats, the course of pregnancy, parturition, and developmental parameters of the pups were within physiological norms. In rats from EG2, the course of pregnancy and parturition, the condition of rat pups did not differ from the physiological norm; however, one rat developed convulsions during birth. Immunohistochemical analysis revealed reduced inflammatory manifestations in the placenta of rats treated with MP, compared to animals from the control group that did not receive pharmacological correction.
Conclusion: Under experimental conditions, MP can prolong pregnancy to physiological norms and have a positive effect on the physical development of the offspring.
Graphical Abstract
Keywords: pregnancy, micronized progesterone, newborns, placental insufficiency
Introduction
The challenging placental insufficiency in pregnant women has become particularly relevant during the novel coronavirus infection (COVID-19) pandemic, when a high incidence of obstetric and perinatal complications was observed (Abourida et al. 2020; Baergen and Heller 2020; Petrova and Shmakov 2022; Sanaeva and Dudareva 2022).
Placental insufficiency is currently included in the International Statistical Classification of Diseases, Injuries, and Causes of Death as a primary diagnosis for pathological conditions of the fetus and newborn (10th revision, code 036).
Most researchers agree that placental insufficiency is a complex clinical syndrome caused by morphological and functional changes in the placenta, which are underpinned by pathological changes in the fetal-placental and/or uteroplacental blood flow, with disruption of compensatory and adaptive mechanisms that ensure normal fetal growth and development, and the woman’s adaptation to pregnancy. This syndrome is manifested as a complex of disturbances in the endocrine, trophic, metabolic, and transport functions of the placenta and is one of the leading causes of high morbidity and mortality in children, not only in the perinatal period but also in later stages of development (Ivanov et al. 2019).
The most common complications of placental insufficiency are preeclampsia (moderate or severe), fetal growth restriction (FGR) and fetal hypotrophy, and premature birth unrelated to uterine anatomical features, when malformations, uterine hypoplasia, or cervical insufficiency are absent.
The development of placenta-associated diseases is based on impaired trophoblast invasion and incomplete transformation of the uterine spiral arteries (Dobrokhotova et al. 2019). The incidence of placental insufficiency in patients with late pregnancy complications can be up to 70%, and up to 60% in the presence of a viral and/or bacterial infection (Rets 2008; Milovanov 2010). Among the mechanisms of placental insufficiency development, a number of researchers (Halperin et al. 2000; Rets 2008; Milovanov 2010; Tezikov and Lipatov 2024) highlight the proinflammatory state as a factor associated with the forming endothelial dysfunction, destabilization of immunobiological surveillance, and metabolic disorders of organs and systems, including the functional system “mother-placenta-fetus”.
Placental insufficiency of infectious origin can occur after coronavirus infection. Exposure to an infectious factor, particularly the SARS-COV-2 virus, can trigger the development of morphofunctional disorders in the fetal-placental system and result in its decompensation. Even mild coronavirus infection has been demonstrated to be associated with a sharp increase in the incidence of obstetric and perinatal complications, including early reproductive losses (up to 20%), preterm labor (up to 25%), premature rupture of membranes (up to 23%), and fetal distress (up to 30%) (Kudryavtseva et al. 2022; Lipatov et al. 2022; Arzhanykh et al. 2024; Zolotukhina 2024).
The degree of negative effect of placental insufficiency on the fetus is determined by a number of factors in the maternal-placental-fetal system at the molecular, cellular, and tissue levels.
The trigger for placental insufficiency is believed to be a disruption in the interaction between the invasive trophoblast and maternal factors, leading to incomplete transformation of the spiral arteries, generalized oxidative stress, impaired trophoblast blood supply through alternating ischemia and reperfusion, and abnormal villous tree maturation (Minchenko et al. 2019). Implantation, trophoblast invasion, and subsequent placental functioning are thought to be a multistage process of endothelial-hemostasis interactions. Macrophages, regulatory T cells, and decidual natural killer cells support trophoblast function, fetal growth and development, and control immune and endocrine mechanisms by secreting cytokines with anti-inflammatory effects (IL-4, IL-6, IL-10) (Ovsyannikov et al. 2019).
The placenta is a neuroendocrine-immune organ; its cellular elements synthesize biologically active substances (Ruleva 2007). A key role in the biosynthesis of mediators belongs to luminescent granular macrophages, which perform important immunological functions such as phagocytosis, antigen presentation, cytokine secretion, and control of the innate and adaptive immune response (Zhguleva et al. 2024). The development of fetal-placental insufficiency can lead to a disruption in the composition of macrophages with a predominant proinflammatory type. The expression of proinflammatory CD-68+ and anti-inflammatory CD-163+ cells in the placenta is of great importance in placental insufficiency.
Alongside dystrophic changes, there are compensatory-adaptive mechanisms developing in placental insufficiency; these include increased angiomatosis (Artem’eva et al. 2025). With prolonged exposure to unfavourable factors, such as the affecting Sars-Cov-2 viral infection, decompensation in the “mother-placenta-fetus” system may increase (Milovanov 2010; Adamyan et al. 2021; Lipatov et al. 2022; Tezikov and Lipatov 2024). It has been proven that the novel coronavirus infection contributes to the enhancement of such significant pathogenesis links for placental insufficiency as inflammation and prothrombotic status, programmed cell death and, ultimately, destabilisation of the vascular endothelium with increasing endothelial dysfunction. Along with systemic changes, modulation of local processes in the fetal and maternal parts of the placenta occurs – decidualisation and placental angiogenesis (Adamyan et al. 2021; Lipatov et al. 2022). The primary means of improving perinatal outcomes is to prevent perinatal complications by influencing pathological processes arising in the maternal-placental-fetal system. In this regard, it is relevant to study the additional properties of medications approved for use during pregnancy. One of these medications used in obstetric practice is micronized progesterone (MP). Progesterone-based medications are actively applied to treat recurrent pregnancy loss, eliminate the threat of miscarriage, and provide preconception care in women with a complicated obstetric and gynecological history (Fleming et al. 1997; Romero and Stanczyk 2013; Chebotareva et al. 2017).
Previous studies have demonstrated that progesterone has a beneficial effect on uterine, placental, and vascular remodeling, inducing apoptosis, cellular adhesion, and endothelial and smooth muscle cell proliferation, thus being meaningful for the normal functioning of the developing placenta (Chebotareva et al. 2013). It is essential to evaluate the effect of MP-based medications on the fetus and newborn state in simulated placental insufficiency, including monitoring inflammatory processes that involve placental macrophages. Considering the above, the aim of the study was formulated as follows: to investigate the impact of MP-based medications on the anthropometric parameters of the fetus and newborns under simulated placental insufficiency.
Materials and Methods
The studied compounds
Micronized progesterone (Utrogestan) 20 mg/day and 40 mg/day, which corresponds to the prophylactic and therapeutic dose, taking into account interspecies conversion in rats weighing 250 g.
Animals
The study was approved by the Ethics Committee, N.N. Burdenko Voronezh State Medical University (VSMU), Ministry of Health of the Russian Federation, dated September 19, 2023 (Minutes No. 5). All manipulations with laboratory animals were carried out in accordance with the principles of bioethics, good laboratory practice (GLP), the requirements of the Federal Law of the Russian Federation No. 4979-1 “On Veterinary Medicine”, dated May 14, 1993 (as amended on July 2, 2021), Directive 2010/63 / EU of the European Parliament and the Council of the European Union “On the Protection of Animals used for Scientific Purposes”, GOST 33216-2014 “Guidelines for the Care and Maintenance of Laboratory Animals. Rules for the Care and Maintenance of Laboratory Rodents and Rabbits”, GOST 33215-2014 “Guidelines for the Care and Maintenance of Laboratory Animals. Rules for the Equipment of Premises and Organization of Procedures”, and GOST 33044-2014 “Principles of good laboratory practice”.
Experimental study design
The study aimed to investigate the protective effect of micronized progesterone on pregnancy and fetal and neonatal outcomes was conducted at the Research Institute of Experimental Biology and Medicine, N.N. Burdenko VSMU (Russia).
The study included 26 female Wistar rats weighing 250-300g, aged 12 months. To form groups of pregnant animals housed separately, the female rats were placed together with intact male rats in a 2:1 ratio for 10 days after three rutting cycles (two estrous cycles). Vaginal cytology samples were collected daily and stained with hematoxylin and eosin. The first day of pregnancy was considered the day when the sperm cells were detected in a vaginal smear.
Placental insufficiency was simulated in rats as glucocorticoid dysregulation following the technique designed by Chebotareva and Ovsyannikov et al. (Chebotareva et al. 2013; Chebotareva et al. 2017; Khutieva 2018). For this purpose, rats received a mixture containing 1.25 mg of powdered synthetic glucocorticoid drug Prednisolone and 100 g of semolina at 9:00 a.m. on 3rd-11th days of pregnancy.
Glucocorticoid dysregulation was induced by administering prednisolone, which is an antagonist of progesterone, promoting developing early placental insufficiency in pregnant rats. In addition, cortisol blocks the activity of prostaglandin dehydrogenase (PGDH) in the placenta and chorion, increasing the secretion of prostaglandins, which creates a favourable background for the disruption of angiogenesis and development of endothelial dysfunction and proinflammatory changes in the fetal-placental complex (Patel et al. 1999). Previous studies have reported the glucocorticoid dysregulation effect on the developing placental insufficiency and fetal hypotrophy evidenced by pronounced histopathological changes in the placenta in all (100%) rats of the experimental group and anthropometric parameters of the offspring (Bruno 2003).
Pharmacological correction of placental insufficiency was performed with Utrogestan (micronized progesterone) administered orally on the 1st–14th days of pregnancy. The dosage for rats was calculated using interspecies dose conversion guidelines. The study included four observation groups:
Control Group 1 (CG1, n=6) included intact rats;
Control Group 2 (CG2, n=6) included rats with simulated placental insufficiency (prednisolone 1.25 mg/day orally on the 3rd-11th days of pregnancy);
Experimental Group 1 (EG1, n=7) included rats with simulated placental insufficiency (prednisolone 1.25 mg/day orally on the 3rd-11th days of pregnancy) and micronized progesterone dosage 20 mg/day on the 1st-14th days of pregnancy;
Experimental Group 2 (EG2, n=7) included rats with simulated placental insufficiency (prednisolone 1.25 mg/day orally on the 3rd-11th days of pregnancy) and micronized progesterone dosage 40 mg/day on the 1st-14th days of pregnancy.
All rats parturiated through natural birth canals on the 20th-24th days. Placentas were collected immediately after delivery.
The study included a histological and immunohistochemical analysis of the placentas. Placental tissue fragments were fixed in 10% buffered formalin at room temperature. After 48 hours, the biomaterial was excised. Standard sample preparation was performed; that included dehydration, degreasing, and paraffin impregnation in an MTP-120 tissue processor, followed by paraffin embedding in a Tissue-Tec-5 system (Sakura). An Accu-Cut SRM 200 microtome (Sakura) was used to prepare 4-µm-thick sections; sections then were stained with Gill’s hematoxylin and eosin to identify cellular elements.
Macrophage plasticity features were specified immunohistochemically, identifying macrophages with proinflammatory CD-68+ and anti-inflammatory CD-163+ phenotypes. Primary rabbit monoclonal antibodies ([EPR20545] ab213363, dilution 1:2000) were used to detect CD-68+ macrophages. Primary rabbit monoclonal antibodies ([EPR19518] ab182422, dilution 1:500) were used to detect CD-163+ cells. Microscopic specimens were photographed and evaluated using a hardware and software complex for biological research with a documentation system based on a ZEISS Axio Imager A2 microscope, objective 40. The representativeness of the sample was achieved by evaluating at least 20 fields of view. Immunohistochemical markers were evaluated quantitatively as a percentage of the intact tissue area.
In the study, the authors specified the anthropometric parameters of the fetuses (body weight, craniocaudal size), and examined the physical development of the offspring, which included daily registration of the hair coating, palpebral fissure and eye opening.
Statistical analysis
The results obtained were statistically processed using the Microsoft Office Excel (2016) and Statistica 10 software packages. The Shapiro-Wilk test was used to assess the normality of distribution in variation series. The reliability of differences in quantitative characteristics that did not follow the normal distribution during intergroup analysis was assessed using the Mann-Whitney test. The Kruskal-Wallis test was used to compare three independent groups. Differences were considered statistically significant at p < 0.05. The relationship between the studied parameters was quantitatively assessed on the basis of correlation analysis calculating the Spearman rank correlation coefficient (r) with the values interpretation according to the Chaddock scale.
Results and Discussion
In the first experimental block, the severity of placental insufficiency was assessed under simulated gestational disorders (by administering a glucocorticoid to rats on the 3rd-11th days of gestation, the first half of pregnancy). It was found that in the control group of intact rats (CG1), 100% of animals parturiated spontaneously on the 22nd-24th day of gestation. The duration of pregnancy, number of fetuses, fetal weights, placenta weights, and fetal lengths were within physiological norms, according to published data.
In the control group of animals with simulated placental insufficiency (CG2), most rats parturiated on the 20th-21st day. In one rat (16%), parturition was complicated by uterine bleeding. Apart from a 2-3-day reduced gestation, rats with simulated placental insufficiency demonstrated a discrepancy between fetal and placental weights and gestational age, this being combined with a reliable reduction in the number of fetuses. When assessing the anthropometric parameters of newborn rat pups in CG2, a decreased number of pups and their compromised anthropometric parameters were revealed, if compared with the parameters of the offspring of intact rats in CG1. This was manifested in a statistically significant decreased number of fetuses by 2.8 times, a reduced body length by 43%, a reduced body weight by 41%, p = 0.003 (Table 1).
The data obtained in the 1st experimental block indicated that, if compared with the control group of intact animals, animals with simulated placental insufficiency demonstrated specific clinical and morphological signs evidencing a complicated pregnancy with developing placenta-associated diseases (gestation was 3-4 days shorter than in the control group; a significantly decreased number of fetuses; discrepancy between the weight of fetuses and placentas and the gestational age; a reduced weight and length of fetuses).
In the second block of the experiment, the primary objective was to evaluate the potential for preventing simulated placental insufficiency with early administration of MP-based medications.
In experimental group 1 (EG1), rats with simulated placental insufficiency that received MP dosage 20 mg/day on the 1st-14th days of gestation, gestation ended in spontaneous parturition on the 23rd-24th day. No complications were observed during pregnancy or parturition.
In experimental group 2 (EG2), in animals with simulated placental insufficiency that received MP dosage 40 mg/day, there were no differences in gestation period comparing to that of intact animals, although one rat developed convulsions on the 19th day of gestation.
The number of fetuses, the weight of fetuses and placentas, and the length of fetuses were within physiological norms in both groups. In animals from EG1, which received MP dosage of 20 mg/day, anthropometric parameters of the rat pups did not differ from those of intact rats (CG1) and were consistent with the gestational age. No significant differences were found between the data obtained in animals from the experimental group (EG1) and the control group of intact rats (CG1) (Table 1).
In animals from EG2, which received MP dosage of 40 mg/day, there were no statistically significant differences in the developmental parameters of the pups compared to those of the pups of intact rats from CG1 and EG1. However, compared to the control group, rats receiving progesterone at a dosage of 40 mg/day demonstrated a 17.9% decrease in the body length of newborn rats, p=0.017, and a 10.5% decrease in the body weight, p=0.021.
The median number of rat pups was statistically significantly different in the control group of rats (CG2) with simulated placental insufficiency and rats receiving micronized progesterone (EG1) at a dosage 20 mg/day – 5 [3; 8] rat pups and 16 [14; 22] rat pups, p = 0.015, respectively. The median body weight of rat pups was also statistically significantly different – 3550 [3250; 4020] mg and 6150 [5770; 6315] mg, p = 0.044, respectively.
|
Table 1. |
Download as |
||
|
Anthropometric parameters of newborn rats |
|||
|
Parameters |
CG1 n=6 |
CG2 n=6 |
EG1 n=7 |
EG2 n=7 |
||||
|
Ме |
Q1-Q3 |
Me |
Q1-Q3 |
Me |
Q1-Q3 |
Me |
Q1-Q3 |
|
|
The number of rat pups |
14 [12;19] |
5 [3;8] ⁴ |
16 [14;22] ² |
12 [10;16] |
||||
|
The body length, mm |
39 [33;45] |
22 [20;27] ⁴ |
34 [28;36] |
32 [29;40] |
||||
|
The body weight, mg |
6050 [5870;6100] |
3550 ⁴ [3250;4020] |
6150 ² [5770;6315] |
5410 [5220;5845] |
||||
Note: 1 – р<0.05 – when comparing experimental animals with animals from the first control group (Kruskal–Wallis); 2 – р<0.05 – when comparing experimental animals with animals from the second control group (Kruskal–Wallis); 3 – р<0.05, when comparing animals from the first experimental group with animals from the second experimental group (Mann–Whitney U test); 4 – р<0.05, when comparing animals from the first control group with animals from the second control group (Mann–Whitney U test).
Similar data were obtained when comparing animals with simulated placental insufficiency from the control group (CG2) and rats receiving micronized progesterone (EG2) at a dosage 40 mg/day (Table 1).
When assessing the physical development of rat pups in the early postnatal period, it was found that the most unfavourable results were obtained in the offspring of animals with simulated placental insufficiency from CG2. In addition to low anthropometric parameters, they demonstrated developmental delays, manifested by delays in the primary hair growth, palpebral fissure and eye opening, and full hair coating (Table 2).
|
Table 2. |
Download as |
||
|
Parameters of physical development of rat pups in the early postnatal period |
|||
|
Parameters |
CG1 n=6 |
CG2 n=6 |
EG1 n=7 |
EG2 n=7 |
||||
|
Me |
Q1-Q3 |
Me |
Q1-Q3 |
Me |
Q1-Q3 |
Me |
Q1-Q3 |
|
|
Ears detached, days |
2 [1;4] |
4 [3;6] |
3 [1;4] |
3 [2;5] |
||||
|
Primary hair growth, days |
6 [4;7] |
9 [8;11] |
7 [4;7] |
6 [4;8] |
||||
|
Incisors erupt, days |
9 [5;10] |
6 [5;7] |
9 [6;10] |
10 [7;11] ² |
||||
|
Palpebral fissure opening, days |
4 [3;5] |
7 [6;9] |
3 [2;4] ² |
5 [4;7] |
||||
|
Eye opening |
13 [10;16] |
16 [13;19] |
12 [9;13] |
11 [10;13]² |
||||
|
Full hair coating, days |
8 [6;10] |
14 [11;15] ⁴ |
10[9;12] |
8 [7;11] ² |
||||
|
Testicle descent, days |
26 [24;27] |
25 [25;27] |
27 [26;28] |
27 [25;28] |
||||
|
Vaginal opening, days |
29 [28;30] |
31 [28;32] |
29 [27;30] |
30 [29;32] |
||||
Note: 1 – р<0.05 – when comparing experimental animals with animals from the first control group (Kruskal–Wallis); 2 – р<0.05 – when comparing experimental animals with animals from the second control group (Kruskal–Wallis); 3 – р<0.05, when comparing animals from the first experimental group with animals from the second experimental group (Mann–Whitney U test); 4 – р<0.05, when comparing animals from the first control group with animals from the second control group (Mann–Whitney U test).
In rat pups of animals from CG2, the time of palpebral fissure opening increased to 7 [6;9] days and eye opening to 16 [13;19] days, whereas in pups of intact animals from CG1 the time of palpebral fissure and eye opening was shorter — 4 [3;5] days and 13 [10;16] days, respectively. The median of full hair coating in rat pups of animals from CG2 was statistically significantly different from that in intact animals of the control group, 8 [6;10] and 14 [11;15], respectively, p=0.0165, the fact associating with the negative impact of placental insufficiency on the physical development of the rat offspring, compared to the control group of intact animals. The simulated pathological process did not affect the development of the reproductive system organs (testicular descent time, vaginal opening).
Administering MP-based medications under simulated placental insufficiency contributed to physical developmental parameters in rat pups that did not differ from those in intact rats from the control group (Table 2). The median rates of ear detachment, primary hair growth, testicular descent, and vaginal opening did not differ statistically significantly between the EG1 and CG1 study groups (p>0.05).
We found statistically significant differences when comparing parameters of rat pups born from rats with simulated placental insufficiency (CG2), and from experimental animals receiving pharmacological MP correction. Full hair coating values differed between rat pups of animals from CG2 and EG2 (animals receiving progesterone dosage 40 mg/day), with a reduction in the period from 14 [11; 15] days to 8 [7; 11] days, respectively, p=0.04. When comparing the same parameter in animals from CG2 and EG1 (animals receiving progesterone dosage 20 mg/day), a full hair coating value also tended to reduce from 14 [11;15] to 10 [9;12] days, p=0.033.
The median parameter of palpebral fissure opening was statistically significantly different in animals from CG2 and EG1 –11 7 [6;9] days and 3 [2;4] days, respectively, p=0.011. The result was similar when comparing the parameters of the offspring of rats from EG2 and rats from the control group (CG2). The data obtained indicated that in the groups of rats receiving MP, pharmacological correction was achieved regardless of the medication dosage.
Histological examination of the placentas in animals of the study groups revealed a typical chorioallantoic placenta structure (Bruno 2003; Gumusoglu et al. 2021). The chorionic plate in the intact rats (CG1) was relatively thin, with a large number of anastomosing, plethoric, thin-walled blood vessels and covered with columnar amniotic epithelium.
In the control group of intact rats (CG1), the labyrinthine layer of the placenta was represented by a large number of anastomosing capillaries located in the trophoblast trabeculae and expanded plethoric maternal lacunae, separated by a three-layered trophoblast. The placentas of this group were found to contain a large number of syncytiocapillary membranes, with the basement membrane of the thinned syncytium being as close as possible to the basement membrane of the dilated capillary of the villus, indicating placental maturity.
In the maternal placenta, the spongiotrophoblast layer consisted of individual clusters of large cells with basophilic cytoplasm and pyknotic nuclei. This layer also contained clusters of large cells with light, often foamy, cytoplasm and pyknotic nuclei, forming islands with clear boundaries, the so-called “glycogen islands”.
Macroscopic comparative analysis of placentas revealed a decreased placental mass and thickness in simulated placental insufficiency in pregnant rats of the control group (CG2), compared with intact animals of the control group (CG1) – 1706 μm [1564; 1891] and 2442 μm [2272; 2611], respectively, p = 0.036 (Table 3).
In the placentas of rats with simulated placental insufficiency (CG2), there were detected expanded large plethoric maternal lacunae limited by cords of oxyphil-stained polygonal spongiotrophoblast cells. The structure of the “glycogen islands” was disrupted. The cells that formed the islands were arranged randomly. The decidual layer of the maternal part was characterized by the presence of a large number of polymorphic, oxyphil-stained, flattened cells. The thickness of the decidual layer was reduced compared to the control group (CG1) (Table 3).
In the second control group of rats (CG2) with simulated placental insufficiency, histological examination of the placentas revealed uneven thickness of the chorionic plate, wall thickening, dilation, and uneven plethora of blood vessels. In addition, small hemorrhages were present in the chorionic plate and increased leukocyte infiltration was present around the blood vessels. The thickness of the labyrinthine layer of the placenta had minimal values (Table 3).
|
Table 3. |
Download as |
||
|
Organometric and morphometric parameters of placentas and fetuses in an experiment in rats with simulated placental insufficiency and pharmacotherapy with micronized progesterone |
|||
|
Parameters |
CG1 n=6 |
CG2 n=6 |
EG1 n=7 |
EG2 n=7 |
||||
|
Ме |
Q1-Q3 |
Ме |
Q1-Q3 |
Ме |
Q1-Q3 |
Ме |
Q1-Q3 |
|
|
Placental weight, mg |
486 [479;492] |
445 [435;458] |
478 [472;484] |
492 [483;499] |
||||
|
Placental thickness, µm |
2442 [2272;2611] |
1706 ⁴ [1564;1891] |
2198 [2048;2385] |
2754 2 [2552;2971] |
||||
|
Labyrinth layer, µm |
1897 [1764;2015] |
1317 [1216;1466] |
1761 [1611;1946] |
2064 ² [1884;2164] |
||||
|
Spongiotrophoblast, µm |
407 [367;451] |
291 [256;314] |
308 [277;342] |
533 ² ³ [476;559] |
||||
|
Decidual layer, µm |
138 [135;141] |
98 [84;104] |
129 [110;141] |
157 ² [148;175] |
||||
Note: 1 – р<0.05 – when comparing experimental animals with animals from the first control group (Kruskal–Wallis); 2 – р<0.05 – when comparing experimental animals with animals from the second control group (Kruskal–Wallis); 3 – р<0.05, when comparing animals from the first experimental group with animals from the second experimental group (Mann–Whitney U test); 4 – р<0.05, when comparing animals from the first control group with animals from the second control group (Mann–Whitney U test).
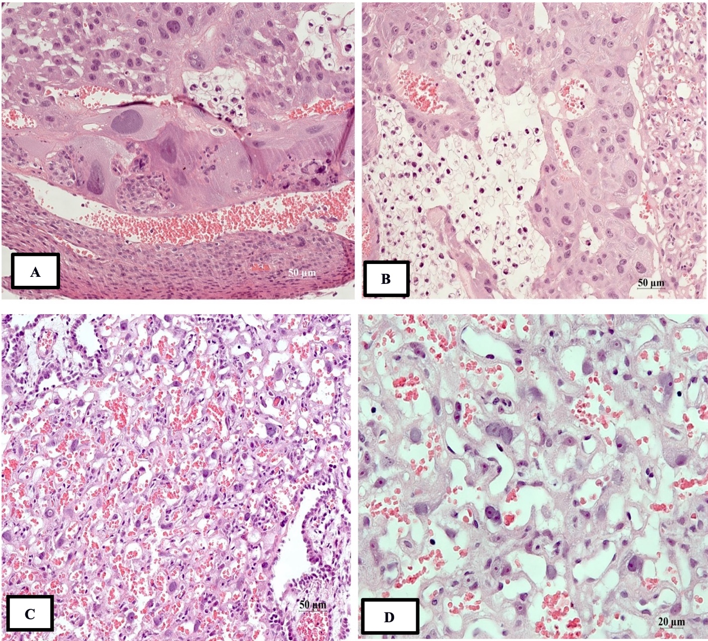
Pathological changes in the labyrinthine layer of the placenta in rats from the control group (CG2) were manifested as severe plethora, edema, and hemorrhages, indicating impaired blood circulation in the microcirculatory system. Trophoblast cells were dystrophically altered, with foci of necrosis observed in certain sites. Simultaneously, sclerotic changes were detected in the stroma associated with weak proliferative activity of the syncytiotrophoblast, a decreased number of syncytial buds, and capillary anemia. The observed changes in the placenta in rats with simulated placental insufficiency (CG2) indicated impaired hemostasis and developing inflammatory response (Fig. 1). This histological picture evidenced clear signs of severe placental insufficiency and limited compensatory reactions in the placenta.
Figure 1. Histological features of placenta in rats: the placenta is stained with hematoxylin and eosin. A, B – fetoplacental insufficiency, 22 days of gestation; C, D – fetoplacental insufficiency under micronized progesterone administration at a dosage of 40 mg/day.
The placental morphology of rats from the experimental groups (EG1 and EG2) with simulated placental insufficiency receiving micronized progesterone, dosages of 20 mg/day and 40 mg/day, had similar features: the presence of a significant number of plethoric blood vessels, actively proliferating syncytiotrophoblast with forming syncytial buds. The thickness of the labyrinthine layer of the placenta for rats from the experimental group (EG2) receiving MP at a dosage of 40 mg/day was 2064 [1884; 2164] μm, which statistically significantly exceeded the median values of the control group (CG2) – 1317 [1216; 1466] μm, p < 0.001.
The greatest number of changes was noted in the terminal villi, the capillaries of which were plethoric and directly involved in the formation of the hematoplacental barrier. The increase in thickness and histological picture of the labyrinthine layer, which was involved in metabolic processes between the fetus and the mother, demonstrated the presence of pronounced compensatory-adaptive reactions in the placenta; their intensity was determined by the daily dose of progesterone (Table 3).
In the group of rats with simulated placental insufficiency receiving micronized progesterone at a dosage of 40 mg/day (EG2), the placental thickness with the largest dimension was recorded – 2754 [2552; 2971] μm; this significantly exceeding the similar parameter in the control group of rats with simulated placental insufficiency receiving no progesterone (CG2) – 1706 [1564; 1891] μm, p < 0.001.
The thickness of the labyrinthine layer in animals from the experimental group (EG1) that received progesterone at a dosage of 20 mg/day tended to increase – 1761 [1611; 1946] μm, in contrast to the median value of animals from the control group (CG2) that did not receive progesterone – 1317 [1216; 1466] μm.
A similar ratio was revealed when comparing the thickness of the placenta in animals from the experimental group (EG1) – 2198 [2048; 2385] µm with the thickness of the placenta in animals from the control group (CG2) 1706 [1564; 1891] µm, p=0.03.
Despite the fact that the spongy layer was less involved in metabolic processes, its thickness differed in the groups. The thickness of this layer in rats with simulated placental insufficiency receiving micronized progesterone at a dosage of 40 mg/day (EG2) – 533 [476; 559] μm significantly increased, compared to similar parameters in rats with simulated placental insufficiency from the control group (CG2) – 291 [256; 314] μm, p = 0.027 and the experimental group (EG1) with simulated placental insufficiency receiving micronized progesterone at a dosage of 20 mg/ day – 308 [277; 342] μm, p = 0.031, respectively.
The thickness of the decidual layer of the placenta in rats from the experimental group (EG2) receiving micronized progesterone dosage 40 mg/day significantly exceeded the values of the control group (CG2) – 157 [148; 175] μm and 98 [84; 104] μm, p = 0.044, respectively (Table 3). Similar changes were noted when comparing the thickness of the decidual layer of the placenta in rats from the experimental group (EG1) receiving micronized progesterone at a dosage of 20 mg/day – 129 [110; 141] μm, in contrast to CG2 – 98 [84; 104] μm.
The decrease in the spongy and decidual layers of the placenta in rats from the control group (CG2) with simulated placental insufficiency can be explained by the deterioration of metabolic processes, which was eliminated due to progesterone intake.
Immunophenotyping of placental macrophages of rats demonstrated that, in animals from the control group with simulated placental insufficiency (CG2), the relative area of staining of CD-68-positive placental macrophages was significantly increased compared to that of intact rats (CG1) – 2.85[2.56;2.99]% and 0.89[0.69;0.92]%, respectively. Notably, there was detected pronounced infiltration of the stroma of the placental labyrinthine layer by CD-68+ macrophages – 1.92[1.67;2.01]% and 0.23[0.07;0.24]%, p<0.001 associated with decreased expression indices of CD-163+ cells 0.5[0.3;0.64]% and 2.7[2.58;2.76]%, p=0.004.
The obtained data can be interpreted as a violation of the optimal ratio between different phenotypes of placental macrophages, which, apparently, is the reason for the development of a pronounced cellular immune response in the placenta during the placental insufficiency simulation (Table 4).
Detection of placental macrophages in rats from the experimental group (EG2) receiving micronized progesterone at a dosage of 40 mg/day revealed the area of CD-68+ and CD-163+ that was close to the values in the control group of intact animals (CG1).
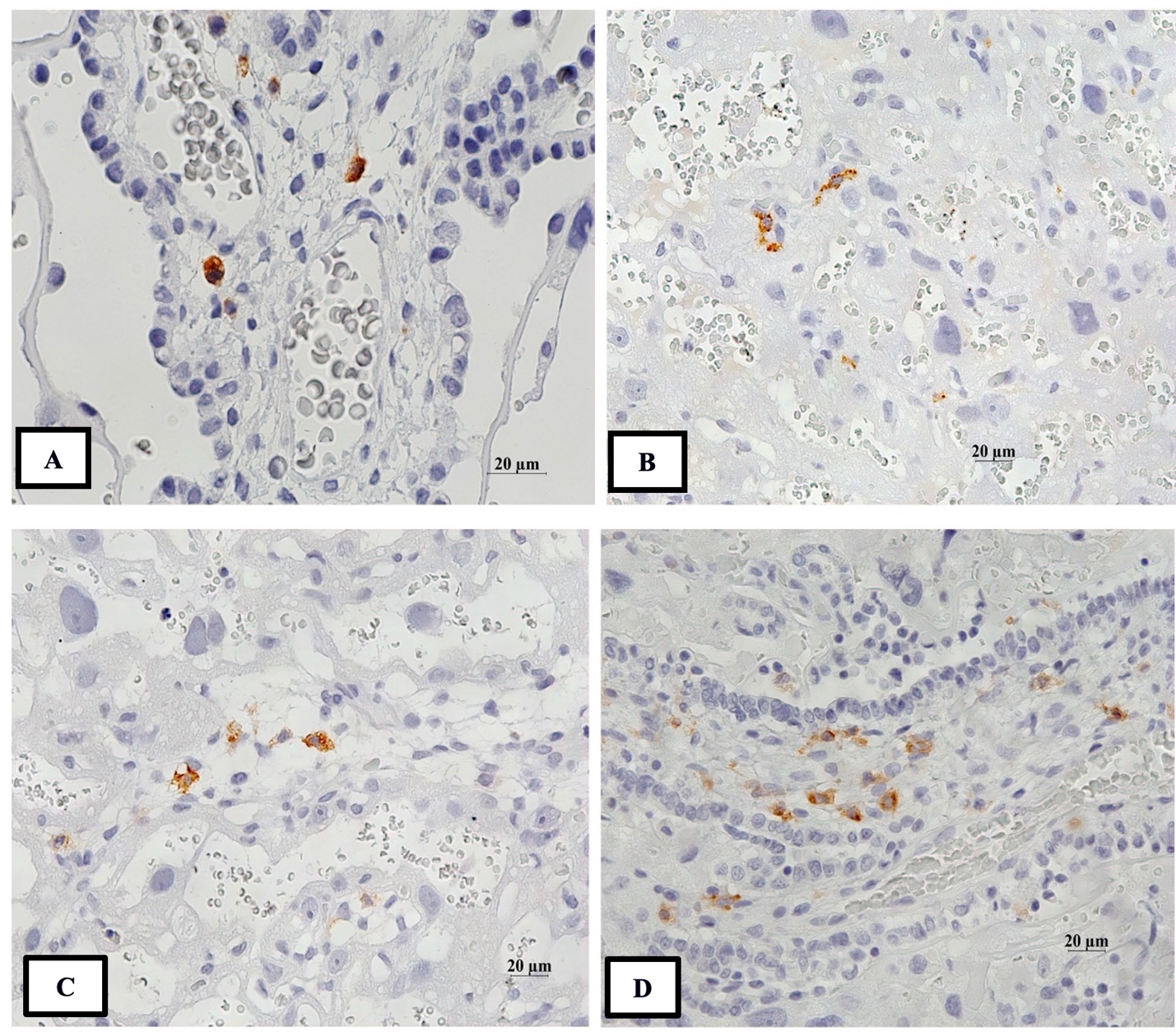
In the placental labyrinthine layer of rats from the experimental group (EG2), compared with the control group of animals with simulated placental insufficiency (CG2), a decreased area of staining for the expression of proinflammatory CD-68+ cells was revealed – 0.16 [0.13; 0.18]% and 1.92 [1.67; 2.01]%. Concurrently, there was an increased expression of anti-inflammatory CD-163+ by 5.4 [5.21; 6.1]%, the parameter being statistically significantly different from CG2 – 0.5 [0.3; 0.64]%, p = 0.042 (Fig. 2).
In animals from the experimental group that received progesterone 20 mg/day (EG1), we observed similar changes in the staining area of CD-68+ and CD-163+ expression; these changes were statistically insignificant compared to the control group (CG2) (Table 4).
|
Table 4. |
Download as |
||
|
Relative area of immunohistochemical staining of CD-68 and CD-163-positive placental macrophages (%) |
|||
|
Parameters |
CG1 n=6 |
CG2 n=6 |
EG1 n=7 |
EG2 n=7 |
|||||
|
Ме |
Q1-Q3 |
Ме |
Q1-Q3 |
Ме |
Q1-Q3 |
Ме |
Q1-Q3 |
||
|
СD-68 |
Total |
0.89 [0.69;0.92] |
2.85 4 [2.56;2.99] |
2.35 [2.21;2.66] |
1,95 ² [1,66;2,07] |
||||
|
Spongy layer |
0.67 [0.62;0.68] |
0.93 [0.89;0.98] |
1.63 [1.57;1.76] |
1,79 1 [1,52;1,98] |
|||||
|
Labyrinth layer |
0.23 [0.07;0.24] |
1.92 4 [1.67;2.01] |
0.72 [0.64;0.91] |
0,16 [0,13;0,18] |
|||||
|
СD-163 |
Total |
4.2 [3.98;4.56] |
2.3 [2.04;2.63] |
3.6 [3.2;4.02] |
6,7 2 [6,34;7,64] |
||||
|
Spongy layer |
1.5 [1.4;1.8] |
1.8 [1.67;1.99] |
0.7 [0.54;0.89] |
1,3 [1,03;1,53] |
|||||
|
Labyrinth layer |
2.7 [2.58;2.76] |
0.5 4 [0.3;0.64] |
2.9 [2.66;3.12] |
5,4 1 [5,21;6,1] |
|||||
|
Spearman’s correlation coefficient (P < 0.05) |
r=-0,003 p=0,6131 |
r=0.856 p=0.0143 |
r=-0.149 p=0.4275 |
r=0.769 p=0.0355 |
|||||
Note: 1 – р<0.05 – when comparing experimental animals with animals from the first control group (Kruskal–Wallis); 2 – р<0.05 – when comparing experimental animals with animals from the second control group (Kruskal–Wallis); 3 – р<0.05, when comparing animals from the first experimental group with animals from the second experimental group (Mann–Whitney U test); 4 – р<0.05, when comparing animals from the first control group with animals from the second control group (Mann–Whitney U test).
The conducted correlation analysis supported a significant interdependence between changes in the staining area of CD-68+ and CD-163+ in the second control group (CG2) and the second experimental group (EG2), with correlation coefficients r=0.856 and r=0.769, respectively.
Thus, the immune response presenting in the placenta, manifested as massive infiltration of the stroma of the labyrinthine layer by a subpopulation of CD-68+ cells, on the one hand, indicates the involvement of placental macrophages in the pathogenesis of the disease, and, on the other hand, demonstrates enhancing pathological processes typical of placental insufficiency.
Figure 2. Histological features of placenta in rats under immunohistochemical determination of CD 68+ (A, C) and CD 163+ placental macrophages (B, D). Scale: A – 50 µm, B-D – 20 µm. A, B – fetal-placental insufficiency, 22 days of gestation; C, D – fetal-placental insufficiency with intake of micronized progesterone dosage 40 mg/day.
Micronized progesterone intake provides conditions for reducing proinflammatory changes in the placenta, which primarily occur in the labyrinthine layer.
The dose-dependent effect of MP is manifested by a significant increase in the amount of CD-168-positive macrophages due to a daily dose intake 40 mg/day, in contrast to the experimental group (EG1), in which animals received 20 mg/day.
Results and Discussion
The experimental data obtained evidence that simulating placental insufficiency as glucocorticoid dysregulation results in the developing fetal growth restriction syndrome and an increased risk of miscarriage. These complications in rats are associated with degenerative and circulatory disturbances in the maternal and fetal portions of the placenta, morphologically manifested by tissue ischemia and changes in the architecture of the placental layers.
The use of glucocorticoids during the period of placental arrangement in gestation in rats is consistent with the technique for simulating gestational disorders associated with placental insufficiency. The experimental model of placental insufficiency allows for the effective simulation of placental disorders, as it takes into account the underlying pathogenetic mechanisms associated with the effect of corticosteroids.
The glucocorticoid used in the experiment is a progesterone antagonist. Furthermore, glucocorticoid administration blocks prostaglandin dehydrogenase activity in the placenta and chorion, increasing prostaglandin secretion. This provides an unfavourable environment for developing disorders in the fetal-placental complex. Thus, simulation of early placental disorders through glucocorticoid dysregulation contributes to clinical and morphological disorders and complicated pregnancy in experimental animals (Chebotareva et al. 2013; Chebotareva et al. 2017; Khutieva 2018; Vishnyakova et al. 2022).
Progesterone produced by the corpus luteum affects pertinent processes of endometrial transformation, blastocyst nidation, the first wave of trophoblast invasion, and placentation. Progesterone deficiency disrupts angio- and vasculogenesis in decidual tissue, leading to local hypoxia and early pregnancy loss (Bogdanova and Boltovskaya 2019). During normal pregnancy, progesterone-induced blocking antibodies prevent maternal lymphocytes from recognizing the fetus as foreign by 50%. In cases of inadequate immunological tolerance, type 1 T-helper cells and activated NK cells predominate in the endometrium, producing tumor necrosis factor and interferon-gamma, limiting the depth of cytotrophoblast invasion. This results in the production of specific anti-embryonic and anti-cytotrophoblast antibodies by B-lymphocytes, leading to immune rejection of the fetus (Bazer et al. 2010).
Prostaglandins, particularly PGE2, actively participate in placental formation, especially in early pregnancy: they induce the differentiation of cytotrophoblasts into syncytiotrophoblasts and mediate the effect of progesterone on the expression of vascular endothelial growth factor and angiopoietin in trophoblast cells, accelerating the formation of new capillary tubes and stimulating angiogenesis. The effects of prostaglandins on the degradation and remodeling of the uterine extracellular matrix have been described. However, elevated PGE2 levels are associated with placentation pathology, particularly preeclampsia, a condition characterized by reduced trophoblast invasion and increased vascular resistance (Volchek et al. 2025). The data obtained in this study can be interpreted as a disruption of the optimal balance between different placental macrophage phenotypes, which is a possible cause of the developing a pronounced cellular immune response in the placenta and deterioration of fetal development in experimental animals with simulated placental insufficiency. Administration of MP medications in placental insufficiency enhances anti-inflammatory factors. Under the influence of progesterone, immune cells increase the production of regulatory cytokines and inhibit the production of proinflammatory cytokines (Dall’Asta et al. 2023; Zhao et al. 2023).
Increased CD-163+ expression in the placenta of experimental rats receiving micronized progesterone is associated with the indirect effect of the medication on the inflammatory process. Concurrently, there is enhanced stimulation of endothelial receptors in response to ischemia during treatment with synthetic progestins. This causes changes in the morphological state of the vascular wall involving the lipid layer of cell membranes, endothelial function, and vasodilation.
Previous studies have demonstrated that MP, being the left-handed isomer of endogenous (ovarian) progesterone, has proven efficacy in reducing the incidence of miscarriage by improving endometrial blood flow. Progesterone has an antagonistic relationship with glucocorticoids (Chen et al. 2011). Progesterone promotes the physiological regulation of vascular tone, hemostasis, and fibrinolysis. It has a beneficial effect on uterine remodeling and the transformation of spiral arteries. It induces apoptosis, cell adhesion, and endothelial cell proliferation (Lledo et al. 2006). With normal progesterone levels, it interacts with killer-inhibitory receptors, leading to activation of the maternal immune response via the T-helper type II (Th II) system (Lledo et al. 2006; Chebotareva et al. 2017).
Natural progesterone-based preparations exhibit anti-cytokine, anti-inflammatory, and immunomodulatory effects. Synthetic progesterone analogues do not possess these properties. The biological effects of progesterone are mediated by both the parent drug and its metabolites. Natural progesterone medications undergo biotransformation and have a metabolism similar to that of endogenous (ovarian) progesterone (Gilbert et al. 2008).
Allopregnanolone, being a key neuroactive steroid during fetal life, is formed from 5α-dihydroprogesterone. It plays a crucial role in the development of the fetal central nervous system, protecting it from hypoxia and stress, providing an anxiolytic (sedative) effect, maintaining normal apoptosis levels, and increasing myelination in the fetal brain. The development of convulsions in experimental animals with simulated placental insufficiency while receiving high doses of MP was possibly associated with the paradoxical effect of the medication and its metabolites on the central nervous system; however, this issue requires further elucidations.
Anti-inflammatory CD-163+ cells are high-affinity scavenger receptors expressed primarily on the surface of monocytes and macrophages (Gumusoglu et al. 2021; Vishnyakova et al. 2022) and are a marker of M2 macrophage activation in response to inflammatory stimulation.
Pro-inflammatory CD-68+ cells are proteins highly expressed by monocytic cells, circulating macrophages, and tissue macrophages (Matsiuk and Baraban 2012; Bogdanova and Boltovskaya 2019) and play an important role in the reparative, phagocytic activity of tissue macrophages and their interactions with cells.
Increased expression of CD-163+ on macrophages and elevated levels of its soluble form (sCD-163+) are associated with acute and chronic inflammatory diseases (Milyutina et al. 2017). Anti-inflammatory CD-163+ are acute-phase receptors that clear the body from hemoglobin-haptoglobin complexes, protecting tissues from damage by free hemoglobin (Ishutina and Andrievskaya 2021). After cleavage from the membrane, the free form can obtain anti-inflammatory function and serve as a diagnostic parameter for macrophage activation during inflammatory processes.
The immune reaction present in the placenta, manifested by massive infiltration of the labyrinthine stroma by a subpopulation of CD-68+ cells, suggests the involvement of placental macrophages in the pathogenesis of placental insufficiency and the developing inflammatory response.
Under the influence of progesterone, immune cells enhance the production of regulatory cytokines and block the production of proinflammatory cytokines (Lledo et al. 2006; Chen et al. 2011; Volchek et al. 2025). Increased CD-163+ expression in the placenta of experimental rats receiving micronized progesterone is associated with the indirect effect of the medication on the inflammatory process.
Notably, enhanced stimulation of endothelial receptors occurs in response to ischemia during treatment with synthetic progestins. This results in changes in endothelial function and vasodilation, as well as changes in the morphological state of the vascular wall with the involvement of the lipid layer of cell membranes (Мilyutina et al. 2017; Niringiyumukiza et al. 2018; Ishutina and Andrievskaya 2021).
The data obtained confirm well-reasoned perspectives to further study micronized progesterone medications and their use in women with impaired uteroplacental blood flow.
Conclusion
Experimental data demonstrate that placental insufficiency simulated as glucocorticoid dysregulation leads to the developing fetal growth restriction syndrome and an increased risk of miscarriage. These complications in rats are associated with degenerative and circulatory disturbances in the maternal and fetal portions of the placenta, morphologically manifested by tissue ischemia and changes in the architecture of the placental layers.
Analysing the results obtained, it can be concluded that placental insufficiency simulated as glucocorticoid dysregulation is accompanied by an increase in proinflammatory cytokines and the developing vasospasm of the spiral uterine arteries, thus resulting in ischemic and degenerative changes, as evidenced by immunohistochemical and histological analysis.
Micronized progesterone medications, due to their endothelioprotective and immunomodulatory effects, help reduce placental disturbances and provide more favourable conditions for fetal development. A compared effect of different doses of micronized progesterone revealed that, under experimental conditions of simulated placental insufficiency, progesterone can reduce the inflammatory manifestations of placental insufficiency and stimulate the development of compensatory and adaptive responses in the placenta; the intensity of these processes is determined by the administered dose of progesterone. This, in turn, has a positive effect on anthropometric and physical development parameters of the offspring. However, the effects of a 40 mg/day micronized progesterone dose require further study due to a reported case of convulsions in rats, as well as lower developmental parameters in the rat pups compared to those in the control group of intact animals.
Additional Information
Conflict of interest
The authors declare that they have no conflicts of interest.
Funding
The authors have no funding to report.
Ethics statement
The study was approved by the Ethics Committee, N.N. Burdenko Voronezh State Medical University (VSMU), Ministry of Health of the Russian Federation, dated September 19, 2023 (Minutes No. 5).
Acknowledgments
The authors have no support to report.
Data availability
All of the data that support the findings of this study are available in the main text.
References
§ Abourida Y, Rebahi H, Oussayeh I, Chichou H, Fakhir B, Soummani A (2020) Management of severe COVID-19 in pregnancy. Case Reports in Obstetrics and Gynecology 2020: 8852816. https://doi.org/10.1155/2020/8852816 [PubMed] [РМС]
§ Adamyan LV, Vechorko VI, Konysheva OV, Kharchenko EI (2021) Pregnancy and COVID-19: Current issues (literature review). Russian Journal of Human Reproduction [Problemy Reproduktsii] 27(3):70–77. https://doi.org/10.17116/repro20212703170 [in Russian]
§ Artem'eva KA, Ponomarenko EA, Patsaev TD, Kuznetsova EV, Kondashevskaya MV, Mnikhovich MV, Deev RV, Bochkov VV, Nizyaeva NV, Demidova AS (2025) Morphofunctional characteristics of the placenta in experimental preeclampsia. Journal of Anatomy and Histopathology [ZHurnal Anatomii i Gistopatologii] 14(1): 21–28. https://doi.org/10.18499/2225-7357-2025-14-1-21-28 [in Russian]
§ Arzhanykh YV, Batishcheva GA, Khoroshikh NV, Khoroshikh AO (2024) Pharmacotherapy and perinatal outcomes of a new coronavirus infection according to data from Voronezh hospitals. Scientific and Medical Bulletin of the Central Black Earth Region [Nauchno-Meditsinskii Vestnik Tsentral’nogo CHernozem’ya] 2(96): 24–28. [in Russian]
§ Baergen RN, Heller DS (2020) Placental pathology in COVID-19 positive mothers: preliminary findings. Pediatric and Developmental Pathology 23(3):177–180. https://doi.org/10.1177/1093526620925569 [PubMed] [РМС]
§ Bazer FW, Wu G, Spencer TE, Johnson GA, Burghardt RC, Bayless K (2010) Novel pathways for implantation and establishment and maintenance of pregnancy in mammals. Molecular Human Reproduction 16(3):135–152. https://doi.org/10.1093/molehr/gap095 [PubMed] [РМС]
§ Bogdanova IM, Boltovskaya MN (2019) Functional and phenotypic characteristics of classical (M1) and alternatively activated (M2) macropfages and their role during normal and pathological pregnancy (literature review). Russian Journal of Human Reproduction [Problemy Reproduktsii] 25(5):110–118. https://doi.org/10.17116/repro201925051110 [in Russian]
§ Bruno DL (2003) Natural progesterone and its features. Russian Bulletin of Obstetrician – Gynecologist [Rossiiskii Vestnik Akushera-Ginekologa] 3(3):27-30. [in Russian]
§ Chebotareva JJ, Ovsyannikov VG, Hutieva MY (2013) Modeling of preeclampsia in the experiment in rats. Vladikavkaz Biomedical Journal [Vladikavkazskii Mediko-Biologicheskii Vestnik] 17 (26): 54–58. [in Russian]
§ Chebotareva JJ, Ovsyannikov VG, Hutieva MY, Podgorny IV (2017) The role of glucocorticoid dysregulation in the development of gestational pyelonephritis, placental insufficiency in the experiment. Nephrology [Nefrologiya] 21(5): 76–79. [in Russian]
§ Chen M, Drury JE, Penning TM (2011) Substrate specificity and inhibitor analyses of human steroid 5β-reductase (AKR1D1). Steroids 76(5):484–490. https://doi.org/10.1016/j.steroids.2011.01.003 [PubMed] [РМС]
§ Dall’Asta A, Melito C, Morganelli G, Lees C, Ghi T (2023) Determinants of placental insufficiency in fetal growth restriction. Ultrasound in Obstettrics and Gynecology 61(2): 152–157. https://doi.org/10.1002/uog.26111 [PubMed]
§ Dobrokhotova Y, Dzhokhadze LS, Kuznetsov PA, Kozlov PV (2019) Placental Insufficiency: A modern View. Moscow, 66 рр. [in Russian]
§ Fleming AS, Ruble D, Krieger H, Wong PY (1997) Hormonal and experiential correlates of maternal responsiveness during pregnancy and the puerperium in human mothers. Hormones and Behavior 31(2): 145–158. https://doi.org/10.1006/hbeh.1997.1376 [PubMed]
§ Gilbert JS, Ryan MJ, LaMarca BB, Sedeek M, Murphy SR, Granger JP (2008) Pathophysiology of hypertension during preeclampsia: linking placental ischemia with endothelial dysfunction. American Journal of Physiology 294(2): 541–550. [PubMed]
§ Gumusoglu SB, Chilukuri AS, Hing BQ (2021) Altered offspring neurodevelopment in an arginine vasopressin preeclampsia model. Translational Psychiatry 11(1): 79. https://doi.org/10.1038/s41398-021-01205-0 [PubMed] [РМС]
§ Halperin R, Peller S, Rotschild M, Bukovsky I, Schneider D (2000) Placental apoptosis in normal and abnormal pregnancies. Gynecologic and Obstetric Investigation 50(2): 84–87. https://doi.org/10.1159/000010287 [PubMed]
§ Ishutina NA, Andrievskaya IA (2021) Prostaglandins and their role in the early periods of embryonic development (literature review) Bulletin of Physiology and Pathology of Respiration [Byulleten' Fiziologii i Patologii Dykhaniya] (80): 129–137. https://doi.org/10.36604/1998-5029-2021-80-129-137 [in Russian]
§ Ivanov DO, Alexandrova EM, Harutyunyan TG (2019) Guide to perinatology. SPb.: Informnavigator 2: 936. [in Russian]
§ Khutieva MY (2018) Mechanisms of Formation of Gestational Complications in Pregnant Women (Clinical and Experimental Study). PhD Thesis, Peoples' Friendship University of Russia, Moscow, 85 рр. [in Russian]
§ Kudryavtseva EV, Martirosyan SV, Utamuradova SU (2022) Covid - 19 and placenta – associated pregnancy complications: Is there a connection? Ural Medical Journal [Ural'skii Meditsinskii ZHurnal] 21(4): 78–84. [in Russian]
§ Lipatov IS, Tezikov YV, Kalinkina OB, Tyutyunnik VL, Kan NE, Mayorova MO, Yakovleva MA (2022) The relationship of the new coronavirus infection with the formation of fetal growth retardation. Obstetrics and Gynecology [Akusherstvo i Ginekologiya] (2): 53–62. https://dx.doi.org/10.18565/aig.2022.260 [in Russian]
§ Lledo PM, Alonso M, Grubb MS (2006) Adult neurogenesis and functional plasticity in neuronal circuits. Nature Reviews. Neuroscience 7(3): 179–193. https://doi.org/10.1038/nrn1867 [PubMed]
§ Matsiuk YR, Baraban OV (2012) Placenta structure in rats at different stages of normal pregnancy. Journal of GrSMU [ZHurnal Grodnenskogo Gosudarstvennogo Meditsinskogo Universiteta] 1(37): 54–57. [in Russian]
§ Milovanov AP (2010) Morphological characteristics of the second wave of cytotrophoblastic invasion. Archive of Pathology [Arkhiv Patologii] 72(1): 3–6.[in Russian]
§ Milyutina YP, Shcherbitskaya AD, Saltykova ED, Kozina LS, Zhuravin IA, Nalivaeva NN, Arutyunyan AV (2017) Metabolic disorders in the placenta and brain of fetuses of pregnant rats during experimental hyperhomocysteinemia. Sechenov Russian Physiological Journal [Rossiiskii Fiziologicheskii ZHurnal im. I.M. Sechenova] 103(11): 1280–1291. [in Russian]
§ Hypoxic regulation of EDN1, EDNRA, EDNRB, and ECE1 gene expressions in ERN1 knockdown U87 glioma cells. Endocrine Regulations 53(4): 250–262. https://doi.org/10.2478/enr-2019-0025 [PubMed]
§ Niringiyumukiza JD, Cai H, Xiang W (2018) Prostaglandin E2 involvement in mammalian female fertility: ovulation, fertilization, embryo development and early implantation. Reproductive Biology and Endocrinology 16(1): 43. https://doi.org/10.1186/s12958-018-0359-5 [PubMed] [РМС]
§ Ovsyannikov VG, Chebotareva Y, Podgorny IV (2019) Modeling of gestational complications in an experiment on rats. Humans and Their Health [CHelovek i Ego Zdorov’e] (1): 114–123. [in Russian]
§ Patel FA, Clifton VL, Chwalisz K, Challis JR (1999) Steroid regulation of prostaglandin dehydrogenase activity and expression in human term placenta and chorio-decidua in relation to labor. The Journal of Clinical Endocrinology and Metabolism 84(1): 291–299. https://doi.org/10.1210/jcem.84.1.5399 [PubMed]
§ Petrova UL, Shmakov RG (2022) The 2019 novel coronavirus infection and pregnancy: What do we know? Obstetrics and Gynecology [Akusherstvo i Ginekologiya] (2): 4–11. [in Russian]
§ Rets YV (2008) The importance of fetal corticocatecholamine hormones in the pathogenesis of chronic placental insufficiency. Obstetrics and Gynecology [Akusherstvo i Ginekologiya] (1): 44–48.[in Russian]
§ Romero R, Stanczyk FZ (2013) Progesterone is not the same as 17α-hydroxyprogesterone caproate: Implications for obstetrical practice. American Journal of Obstetrics and Gynecology 208(6): 421–426. [PubMed] [РМС]
§ Ruleva AV (2007) The role of biogenic amines in the formation of placental insufficiency in gestosis. PhD Thesis, Research Institute of Obstetrics and Gynecology RAMN, Saint Petersburg, 27рр.[in Russian]
§ Sanaeva MD, Dudareva Yu (2022) Disease course, obstetric and perinatal outcomes in pregnant women with COVID-19 (literature review). Clinician [Lechashchii Vrach] 5(25): 20–24. [in Russian]
§ Vishnyakova PA, Yelchaninov AV, Kiseleva VV, Muminova KT, Khodzhaeva ZS, Eremina IZ, Fatkhutdinov TH (2022) The role of placental macrophages in physiological pregnancy and preeclampsia. Obstetrics and Gynecology [Akusherstvo i Ginekologiya] 4: 5–12. https://dx.doi.org/10.18565/aig.2022.4.5-12 [in Russian]
§ Volchek IА, Novozhenov VG, Gladko OV, Yakovleva LM (2025) Role of prostaglandin F2α in the pathogenesis of inflammatory processes. Bulletin of the Medical Institute of Continuing Education [Vestnik Meditsinskogo Instituta Nepreryvnogo Obrazovaniya] 5(3): 11–14. [in Russian]
Hypoxia-induced signaling in the cardiovascular system: pathogenesis and therapeutic targets. Signal Transduction and Targeted Therapy 8(1): 431. https://doi.org/10.1038/s41392-023-01652-9 [PubMed] [РМС]
§ Zhguleva AS, Zementova MS, Selkov SA, Sokolov DI (2024) M1/M2 macrophages: Origin, phenotype, production methods, interaction with natural killers and trophoblast. Medical Immunology [Meditsinskaya Immunologiya] 26(3): 427–428. doi:10.15789/1563-0625-MMO-2877 [in Russian]
§ Zolotukhina YV (2024) The impact of pharmacotherapy on the structure of placental disorders in women with SARS-COV-2 infection in the second trimester of gestation. Medical Scientific Bulletin of Central Chernozemye [Nauchno-Meditsinskii Vestnik Central’nogo Chernozem’ya] 2(25): 17–20. [in Russian]
Author Contribution
§ Galina A. Batishcheva, Doctor Habil. of Sciences in Medicine, Professor, Head of the Department of Clinical Pharmacology, N.N. Burdenko Voronezh State Medical University, Voronezh, Russia; e-mail: bat13@mail.ru; ORCID ID: https://orcid.org/0000-0003-4771-7466. The author consulted on the research idea, the analysis of the clinical material and conclusions.
§ Yana V. Zolotukhina, oncologist at Voronezh Regional Scientific Clinical Center, Voronezh, Russia; e-mail: yana.arzhanyh@yandex.ru; ORCID ID: https://orcid.org/0000-0001-9064-0623. The author conceived the idea of research, analyzed the results, drew conclusions and translated the manuscript in English.
§ Victoria V. Shishkina, Candidate of Sciences in Medicine, Associate Professor, Head of the Department of Histology, N.N. Burdenko Voronezh State Medical University, Voronezh, Russia; e-mail: 4128069@gmail.com; ORCID ID: https://orcid.org/0000-0001-9185-4578. The author defined the idea of research, analyzed the clinical material, results and conclusions.
§ Natalia V. Khoroshikh, Candidate of Sciences in Medicine, Associate Professor of the Department of Obstetrics and Gynecology, N.N. Burdenko Voronezh State Medical University, Voronezh, Russia; e-mail: nvh.vrn2011@yandex.ru; ORCID ID: https://orcid.org/0000-0001-8955-1113. The author contributed to structuring the article, literature analysis and translating the article into English.
§ Tatyana V. Samoylenko, Assistant Lecturer of the Department of Histology, N.N. Burdenko Voronezh State Medical University, Voronezh, Russia; e-mail: antailkka@mail.ru; ORCID ID: https://orcid.org/0000-0001-9990-535X. The author analyzed the results and drew conclusions.
§ Olga D. Zhilyaeva, Candidate of Sciences in Medicine, Senior Lecturer of the Department of Histology, N.N. Burdenko Voronezh State Medical University, Voronezh, Russia; e-mail: ozhilyaeva@mail.ru; ORCID ID: https://orcid.org/0000-0005-9896-8443. The author analyzed the results, drew conclusions and translated the manuscript into English.
§ Svetlana N. Zolotareva, Candidate of Sciences in Biology, Associate Professor of the Department of Histology, N.N. Burdenko Voronezh State Medical University, Voronezh, Russia; e-mail: zol2009sn@yandex.ru; ORCID ID: https://orcid.org/0000-0002-2136-8272. The author analyzed the results and performed statistical processing of the data.
§ Elena E. Ivanova, Candidate of Sciences in Medicine, Associate Professor of the Department of Histology, N.N. Burdenko Voronezh State Medical University, Voronezh, Russia; e-mail: 89155888871@mail.ru; ORCID ID: https://orcid.org/0000-0001-8920-8059. The author analyzed the results and performed statistical processing of the data.
§ Anna O. Khoroshikh, Russian Center for Neurology and Neuroscience, Moscow, Russia; e-mail: anna.horoshih@gmail.com; ORCID ID: https://orcid.org/0000-0001-9953-2653. The author analyzed the results and performed statistical processing of the data.
Copyright (c) 2026 Batishcheva GA, Zolotukhina YV, Shishkina VV, Khoroshikh NV, Samoylenko TV, Zhilyaeva OD, Zolotareva SN, Ivanova EE, Khoroshikh AO

This work is licensed under a Creative Commons Attribution 4.0 International License.
