The effect of the azolo-triazine derivative AB-19 on the development of diabetic cardiomyopathy in rats
Natalia A. Gurova¹, Vadim A. Kosolapov¹, Alexey V. Smirnov¹, Denis A. Babkov¹, Valentina A. Babkova1, Alena S. Taran¹, Nikolay G. Panshin1, Svetlana K. Kotovskaya², Irina M. Sapozhnikova², Vladimir L. Rusinov², Alexander A. Spasov¹
1Volgograd State Medical University; 1 Pavshikh Bortsov Sq., Volgograd 400131 Russia
2Ural Federal University named after the first President of Russia Boris N. Yeltsin; 19 Mira St., Yekaterinburg 620002 Russia
Corresponding author: Vadim A. Kosolapov (vad-ak@mail.ru)
Abstract
Introduction: Cardiovascular diseases, including cardiomyopathies associated with endothelial dysfunction and impaired protein glycation, are the predominant cause of mortality in diabetes mellitus. This article presents data on the identification of functional and structural changes occurring during the development of diabetic cardiomyopathy and investigates the cardioprotective effects of the anti-glycating agents – the azolo-triazine derivative AB-19 and aminoguanidine.
Materials and Methods: Diabetic cardiomyopathy was modeled using streptozotocin 45 mg/kg I.V. on 60 male Sprague-Dawley rats. Aminoguanidine was investigated at the dose of 50 mg/kg and compound AB-19 – 20 mg/kg once daily. Observations were conducted over a period of 12 weeks. Blood glucose levels and glycated hemoglobin concentration were monitored. Upon completion of the diabetic cardiomyopathy induction period, the following were studied: endothelioprotective properties, cardiac contractile activity, solubility of tail tendon collagen and morphological examinations of the heart and myocardial blood vessels.
Results: The oral administration of AB-19 (20 mg/kg) and aminoguanidine (50 mg/kg) to animals with experimental diabetes mellitus resulted in a 17% reduction in blood HbA1c levels compared to that in the diabetic control rats. This treatment also limited the increase in AGEs in the blood by 51% and 39%, improved the solubility of collagen by 42% and 51%, respectively, restored endothelium-dependent vascular reactivity, and attenuated manifestations of left ventricular diastolic dysfunction associated with myocardial hypertrophy and fibrosis in diabetic animals. These findings were morphologically corroborated: animals treated with AB-19 and aminoguanidine exhibited a reduction in perivascular connective tissue, a decrease in collagen fibers in the myocardium, and a lower expression of AGEs and RAGE in IHC analysis using primary antibodies against AGEs and RAGE compared to the diabetic control group.
Conclusion: Compound AB-19 (20 mg/kg once daily) attenuates functional and structural manifestations of diabetic cardiomyopathy.
Graphical Abstract
Keywords: azolo-triazines, antiglycation, late complications of diabetes mellitus, diabetic cardiomyopathy
Introduction
Diabetes mellitus (DM) is a chronic disease, the prevalence rate of which has reached the scale of a globally significant social epidemic. The disease is characterized by a steadily progressive course and the development of a number of acute and long-term complications, often leading to temporary disability, permanent disability, and premature death from vascular events (Dedov et al. 2023). The number of people with diabetes worldwide has reached 537 million, and according to projections by the International Diabetes Federation, it will increase by 46% by 2045 (to 783 million people) (International Diabetes Federation, 2021).
DM late complications (LC) include polyneuropathy, microangiopathy, encephalopathy, macroangiopathy, cardiomyopathy, endotheliopathy, hemorheological disorders, and impairment of hemostatic mechanisms (Dedov et al. 2017). In the mortality structure of both types of DM, diseases of cardiovascular etiology, including those associated with endothelial dysfunction (ED), are predominant (47% among all causes of death in DM patients in the Russian Federation) (Dedov et al. 2018; Yamagishi et al. 2015; Wong et al. 2023). Patients with DM have 2-5 times higher risk of developing heart failure compared to age-matched patients without diabetes, independent of comorbidities. For every 1% decrease in HbA1c, an 18% reduction in myocardial infarction (MI) cases was observed (Borghetti et al. 2018; Karayiannides et al. 2021). Up to 60% of patients with chronic heart failure (CHF) have insulin resistance, and 10% to 47% have type 2 DM (T2DM). The prevalence of CHF among individuals with T2DM reaches 9-22%, which is 4-6 times higher than in those without diabetes. Left ventricular (LV) diastolic dysfunction is observed in approximately 70% of patients with T2DM, LV hypertrophy – in 60%, and LV systolic dysfunction – in 25%. It has been shown that each 1% increase in glycated hemoglobin (HbA1c) level is associated with an 8-36% increase in the risk of developing CHF, and each 1 mmol/L increase in blood glucose is associated with an approximately 23% increase in risk (Bagriy et al. 2020).
DM LC can lead to direct damage to the heart muscle – diabetic cardiomyopathy. The modern medical community has defined “diabetic cardiomyopathy” as a clinical condition of ventricular dysfunction occurring in the absence of coronary atherosclerosis, hypertension, and significant valvular heart diseases in patients with diabetes (Ivanikova, Smirnova 2019; Borghetti et al. 2018). In its early stages of development, diabetic cardiomyopathy is clinically asymptomatic and is characterized by increased myocardial fibrosis and stiffness. Observations include a reduction in early left ventricular diastolic filling, an increase in atrial filling, elevated LV end-diastolic pressure, and prolonged isovolumetric relaxation. The second stage of diabetic cardiomyopathy is characterized by LV hypertrophy and chamber dilation, cardiac remodeling, progressive diastolic heart dysfunction, and, ultimately, systolic dysfunction accompanied by a reduced ejection fraction. This progression culminates in the clinical presentation of heart failure (Jia et al. 2018).
Therefore, the prevention and treatment of diabetes complications is one of the most critical issues in modern medicine. The pathogenesis of diabetic complications includes the polyol pathway, the formation of advanced glycation end products (AGEs) and their associated signaling cascade via the receptor for AGEs (RAGE), the protein kinase C signaling cascade, and the hexosamine pathway (Giacco, Brownlee 2010). Each of these pathways represents a potential target for pathogenetic intervention; however, the formation of AGEs and their action via RAGE is a preferred target for pharmacological intervention. The development of pharmacological approaches aimed at reducing interstitial and perivascular fibrosis and the formation of glycated proteins lowers the risk of cardiovascular death in patients with type 2 diabetes. The search for anti-glycation agents, as well as cross-link breakers of glycated proteins, is currently being actively pursued (Zhukovskaya et al. 2019; Spasov et al. 2022).
The aim of the present study was to identify the functional and structural changes occurring during the development of diabetic cardiomyopathy and to investigate the cardioprotective effects of the antiglycating agents – compound AB-19 and aminoguanidine.
Materials and Methods
Reagents and compounds
The aminoguanidine hydrochloride (Sigma-Aldrich, USA), streptozotocin (Sigma-Aldrich, USA), and commercially available analytical grade reagents and solvents were used in the study. The main reagents are described in the Methods section. Streptozotocin was dissolved in a citrate buffer (pH 4.5). The test compounds administered to animals were dissolved in distilled water. Compound AB-19 (sodium salt of the diethyl ester of 4-oxo-1,4-dihydropyrazolo[5,1-c]-1,2,4-triazine-3,8-dicarboxylic acid, monohydrate (sodium 3,8-diethoxycarbonyl-4-oxo-4H-pyrazolo[5,1-c][1,2,4]triazinate monohydrate)) was synthesized at the Ural Federal University named after the first President of Russia B.N. Yeltsin (Yekaterinburg, Russia). The test compound belongs to the azoletriazine class, which has demonstrated antiglycating activity (Rusinov et al. 2017).
Animals
The study was conducted in compliance with the regulations established by the European Convention for the Protection of Vertebrate Animals (Strasbourg, 1986); Order No. 199N of the Ministry of Health of the Russian Federation dated April 1, 2016; the Principles of Good Laboratory Practice (OECD, ENV/MC/CHEM(98)17, 1997); GOST 33044-2014 “Principles of Good Laboratory Practice” (identical to OECD GLP); Good Laboratory Practice for Nonclinical Laboratory Studies (21 CFR Part 58, 1978, USA, FDA); Good Laboratory Practice Standards (Ordinance No. 21, 1997, Japan, MHW); and Article 11 of the Federal Law No. 61-FZ of April 12, 2010 “On the Circulation of Medicines” (revised on October 22, 2014). The research was performed on 60 male Sprague-Dawley rats aged 8 weeks, weighing 250-270 g (from the Pushchino Breeding Facility). The animals were housed under standard conditions in accordance with the Decree of the Chief State Sanitary Physician of the Russian Federation No. 51 dated August 29, 2014 “On the Approval of Sanitary Regulations SP 2.2.1.3218-14 ‘Sanitary and Epidemiological Requirements for the Design, Equipment, and Maintenance of Experimental-Biological Clinics (Vivaria)’”. At the time of establishing the pathological model of diabetes mellitus, the animals were healthy, with no alterations in behavior, appetite, or sleep-wake cycles. Euthanasia was performed by disconnecting the rats from the mechanical ventilation system while under chloral hydrate anesthesia, following the guidelines of The Handbook for Preclinical Drug Studies (Mironov et al. 2012), in a timely manner without causing suffering, in a room where no other animals were housed. The study was approved by the Regional Ethical Committee of Volgograd State Medical University (Registration No. IRB 00005839 IORG 0004900, OHRP), Certificate No.116 dated 16 October 2017.
Modeling of diabetes mellitus and its late complications
To induce experimental DM and its LC, specifically diabetic cardiomyopathy, a model of a single intravenous administration of streptozotocin (STZ) (Sigma, USA) at a dose of 45 mg/kg to laboratory animals was used. The STZ was dissolved in a freshly prepared 0.1 M citrate buffer solution, pH 4.5, at a volume of 1 ml/kg (Wei et al. 2003). Animals with fasting blood glucose levels > 15 mmol/L, measured within 72 hours of STZ administration, were included in the experimental groups. Rats that did not meet this criterion were excluded from the experiment.
Administration of the test compounds to animals with experimental DM or distilled water to control groups began on day 7 after STZ injection (a 90-day course of intragastric administration via a metal atraumatic feeding needle once daily). Aminoguanidine was investigated at an effective dose of 50 mg/kg (Kim et al. 2014; Miyauchi et al. 1996), and compound AB-19 at an effective dose of 20 mg/kg (Maltsev et al. 2020).
Experimental animals were randomized into the following groups: 1) a control group 1 (untreated non-DM (intact, n=15)); 2) a control group 2 (untreated DM, n=15); 3) experimental group 1 (DM + AB-19, 20 mg/kg, n=15); 4) experimental group 2 (DM + aminoguanidine, 50 mg/kg, n=15). The studied compounds (experimental groups) or distilled water (vehicle, control groups) were administered intragastrically once daily in the morning using an atraumatic probe. The administration volume was 1 mL/100 g body weight.
To increase survival during the first 24 hours after streptozotocin administration, animals received a 5% glucose solution in water (to prevent hypoglycemic death). Subsequently, biphasic human recombinant insulin (“Humulin M3”, Eli Lilly, USA) was administered according to a sliding scale when blood glucose levels exceeded the threshold of 19.4 mmol/L. The insulin administration regimen was as follows: subcutaneously in the interscapular region between 15:00 and 17:00 daily. The dose was 1 IU for glucose >19.4 mmol/L, 2 IU for >25 mmol/L, 3 IU for >30 mmol/L, and 4 IU for >33.3 mmol/L. Insulin dose adjustments were made once a week based on control measurements of blood glucose concentration in the experimental animals. The experimental endpoint was week 12.
Blood glucose levels in capillary blood were measured electrochemically (Glucocard Sigma-Mini glucometer, Japan-Russia). Blood samples were obtained by scarification of the tail tip epidermis.
The concentration of glycated hemoglobin (HbA1c) was determined in the erythrocyte mass separated from terminal blood collected after the completion of stress tests. The “DIABET-TEST” reagent kit (Phosphosorb, Russia) was used. All procedures were performed according to the manufacturer’s instructions.
The ability to inhibit the formation of cross-links in glycated proteins was assessed using a model of enzymatic and acid hydrolysis of protein according to the method (Kochakian et al. 1996). The solubility of collagen from rat tail tendons was determined using a multifunctional microplate reader (Infinite 200 PRO, Tecan, Austria). Collagen samples were obtained from tail tendon tissues of experimental animals during organ collection at autopsy. The study was conducted spectrophotometrically by detecting hydroxyproline, which constitutes 14% of the collagen mass. Hydroxyproline was determined by the reaction of a pre-oxidized (with chloramine T) hydrolysate with dimethylaminobenzaldehyde at 60ºC (reaction time – 15 minutes). Measurement was performed by determining light absorption at a test wavelength of 570 nm against a reference wavelength of 655 nm.
Upon completion of the diabetic cardiomyopathy induction period, the following parameters were studied in the animals: endothelioprotective properties, cardiac contractile activity, and morphological examinations of the heart and myocardial blood vessels.
Study of endothelioprotective properties
The endothelioprotective activity of the compounds was determined by the response to functional tests following intravenous administration of acetylcholine (ACh, 40 µg/kg) (Sigma, USA) and sodium nitroprusside (SNP, 30 µg/kg) (Russia) (Pokrovsky et al. 2006). Heart rate (HR) and mean arterial pressure (MAP) were recorded invasively in the carotid artery throughout the entire observation period. The areas under the hemodynamic curves of MAP in response to ACh (the area of the endothelium-dependent response) and SNP (the area of the endothelium-independent response) were calculated. The endothelial dysfunction coefficient (CED) was calculated as the ratio of the area under the hemodynamic curve of MAP in response to SNP to the area under the hemodynamic curve of MAP in response to ACh.
Study of cardio- and hemodynamics
Changes in the response to maximal isometric load (afterload) were studied by assessing the effects of substances on cardiac dynamics parameters and functional cardiac reserves during 30 s clamping of the ascending aortic arch (Tyurenkov, Perfilova 2012). The dynamics of key parameters (maximum left ventricular pressure (LVPmax, mmHg), myocardial contraction and relaxation rates (+dP/dt and -dP/dt, mmHg/sec), and heart rate (HR, beats per minute) were recorded continuously throughout the 30 s test period using an invasive method (via catheterization of the carotid artery and heart). The maximum intensity of structural performance (MISP, mmHg/mg*min) was determined by calculation (LVPmax × HR / (LV mass + 1/3 of the interventricular septum)). The study of AB-19 effect on myocardial contractility parameters and functional reserves in rats under conditions of increased afterload was assessed based on the primary response (at 5 s) and the ability to maintain it throughout the entire observation period (area under the pharmacodynamic curve (AUC)).
All cardiaodynamic studies were conducted under anesthesia (chloral hydrate, 400 mg/kg, intraperitoneally) (Panreac Quimica, Spain) and mechanical ventilation (ventilator, Ugo Basile, Italy), using a computerized hemodynamic analyzer MP150WSW with an electromanometer and invasive pressure transducers TSD104A, based on the AcqKnowledge 5.0 software (Biopac Systems, Inc., USA).
After the load tests, the left ventricle and interventricular septum were isolated and weighed. The myocardial hypertrophy index was calculated as the ratio of the left ventricular mass to the animal’s body mass (Ennis 2003).
Morphological studies
Morphological studies of heart and vascular tissues were performed using microscopy. Examination of microslides was conducted using an Axio Lab. A1 microscope (Carl Zeiss Microscopy GmbH, Germany), and photodocumentation was performed with an AxioCam 105 color camera (Carl Zeiss Microscopy GmbH, Germany). Morphometric analysis was carried out using the Image Analysis module of the ZEN 1.1.2.0 software (Carl Zeiss Microscopy GmbH, Germany).
Tissue samples from the left ventricle and interventricular septum were collected from anesthetized animals (chloral hydrate, 400 mg/kg, intraperitoneally). The material was fixed for 24 hours in a 10% solution of neutral buffered formalin (pH 7.4), dehydrated, and embedded in paraffin according to standard histological protocols. Sections 3-5 µm thick were prepared using a rotary microtome. The following studies were performed on the heart tissues: light microscopy with Hematoxylin and Eosin staining, trichrome staining using Masson’s method, polarization microscopy with Sirius Red staining, immunohistochemical (IHC) study using primary antibodies against the primary form of AGE – N-carboxymethyllysine (CML) (rabbit monoclonal anti-AGE antibodies (Abcam, USA)) and RAGE (rabbit monoclonal anti-RAGE antibodies (GeneTex, Taiwan)). The overall state of the histological structure, the extent of myocardial alterations (particularly those associated with fibrosis/sclerosis processes), the degree of connective tissue changes, and the presence of inflammatory infiltration were assessed. The association of these changes with the glycation process was determined by alterations in the tissue content of AGEs/RAGE.
To evaluate the results of the IHC reaction, the following parameters were determined: area and perimeter of the immunoreactive material (IRM) (µm² and µm), relative area of the IRM (%), mean area of perivascular connective tissue (µm²), mean area of immunopositive material in the cardiac arterial vessels (µm²), and the relative area of immunopositive material in the cardiac arterial vessels (%) (Avtandilov 2002; Li et al. 2009).
Statistical analysis
Statistical analysis was performed in GraphPad Prism 5.0 (GraphPad software, San Diego, CA, USA). The normality of data distribution was assessed using the Kolmogorov-Smirnov test. Comparisons between two dependent groups were conducted using the non-parametric Wilcoxon matched-pairs test. Comparisons between two independent groups were performed using the non-parametric Mann-Whitney U test. Comparisons between three or more independent groups were carried out using the non-parametric Kruskal-Wallis test with Dunn’s post hoc test. The hypothesis of the existence of statistically significant differences between groups was accepted at a significance level of p<0.05.
Results and Discussion
General condition of DM animals by the end of the 12-week observation period
In the animals from the untreated DM group, an increase in blood glucose and HbA1c concentrations was observed compared to the intact group (Table 1). Treatment of diabetic rats with substance AB-19 or aminoguanidine did not alter the blood glucose concentration, which is characteristic of anti-glycating compounds (Bolton et al. 2004). However, treatment of the diabetic animals with compound AB-19 or aminoguanidine resulted in HbA1c levels that, while still above normal, were decreased by nearly 17% (Table 1).
|
Table 1. |
Download as |
||
|
Effect of AB-19 compound or aminoguanidine following a course of intragastric administration on blood glucose levels, glycated hemoglobin (HbA1c), serum levels of advanced glycation end products (AGEs), and collagen biomaterial in intact rats and rats with diabetes mellitus (DM) at the end of the study in animals with 3-month DM (M±m) |
|||
|
№ |
Indicator |
Experimental groups |
|||
|
Intact |
DM |
DM + AB-19 (20 mg/kg) |
DM + aminoguanidine (50 mg/kg) |
||
|
1.
|
blood glucose level (mM) |
3.90 ± 0.08 |
18.15 ± 0.53* |
18.77 ± 0.84 |
18.24 ± 0.79 |
|
2.
|
HbA1c level (%) |
6.35 ± 0.32 |
15.11 ± 0.93* |
12.56 ± 1.25 |
12.92 ± 1.47 |
|
3.
|
serum levels of AGEs (mkg/mL) |
5594.5 ± 377.1 |
8907.6 ± 382.9* |
4346.2 ± 653.5# |
5460.9 ± 789.3# |
|
4.
|
fluorescent AGEs (570/655 nm) content in rat tail tendon collagen biomaterial (% of solubility) |
69.75 ± 4.04 |
48.32 ± 4.21* |
68.43 ± 5.05# |
72.76 ± 5.79# |
Note: * – statistically significant vs. control (p < 0.05, non-parametric Mann-Whitney U-test with Bonferroni correction); # – statistically significant vs. animals with DM (p < 0.05, non-parametric Mann-Whitney U-test with Bonferroni correction).
The content of AGEs in untreated diabetic animals was significantly higher than the corresponding AGEs level in the blood of intact control rats by 59% (p<0.05) (Table 1), while pepsin-induced solubility of tail tendon collagen was impaired by 31%. The studied compounds limited the increase in AGEs levels in these samples. Administration of the compound AB-19 or the reference compound aminoguanidine resulted in a statistically significant (p<0.05 in each case) reduction in serum AGEs concentrations by 51% and 39%, respectively, and improved collagen solubility by 42% and 51%, respectively, compared to the results obtained in the diabetic control rats.
Impact on endothelial functional activity
In the assessment of MAP in healthy animals, the endothelium-dependent response to ACh was almost identical to the endothelium-independent response to SNP. The integrated endothelial dysfunction coefficient (CED) in intact animals was 0.71 ± 0.08 a.u. (Fig. 1). In animals with experimental DM, the endothelium-dependent response was impaired. The CED in the DM group was 3.03 ± 0.59 a.u. (p<0.05), 4.3-fold increase compared to the result obtained in intact animals (Fig. 1). Course administration of aminoguanidine or compound AB-19 to animals with experimental DM restored the endothelium-dependent vascular response. The CED value decreased significantly by 5.6-fold and 5.3-fold, respectively, compared to the results in the DM control (Fig. 1).
Figure 1. Endotheliotropic activity of AB-19 following a course of intragastric administration to animals with 3-month experimental DM. Note: CED – endothelial dysfunction coefficient; DM – diabetes mellitus; a.u. – arbitrary units; * – statistically significant vs. control (p<0.05, Kruskal-Wallis non-parametric test with Dunn’s post hoc test).
Study of diabetic cardiomyopathy
The initial stage of diabetic cardiomyopathy is clinically asymptomatic, and cardiac and hemodynamic parameters are generally compensated. Detection of changes is possible through stress tests and morphological studies.
Investigation of the effect of AB-19 on myocardial contractile activity
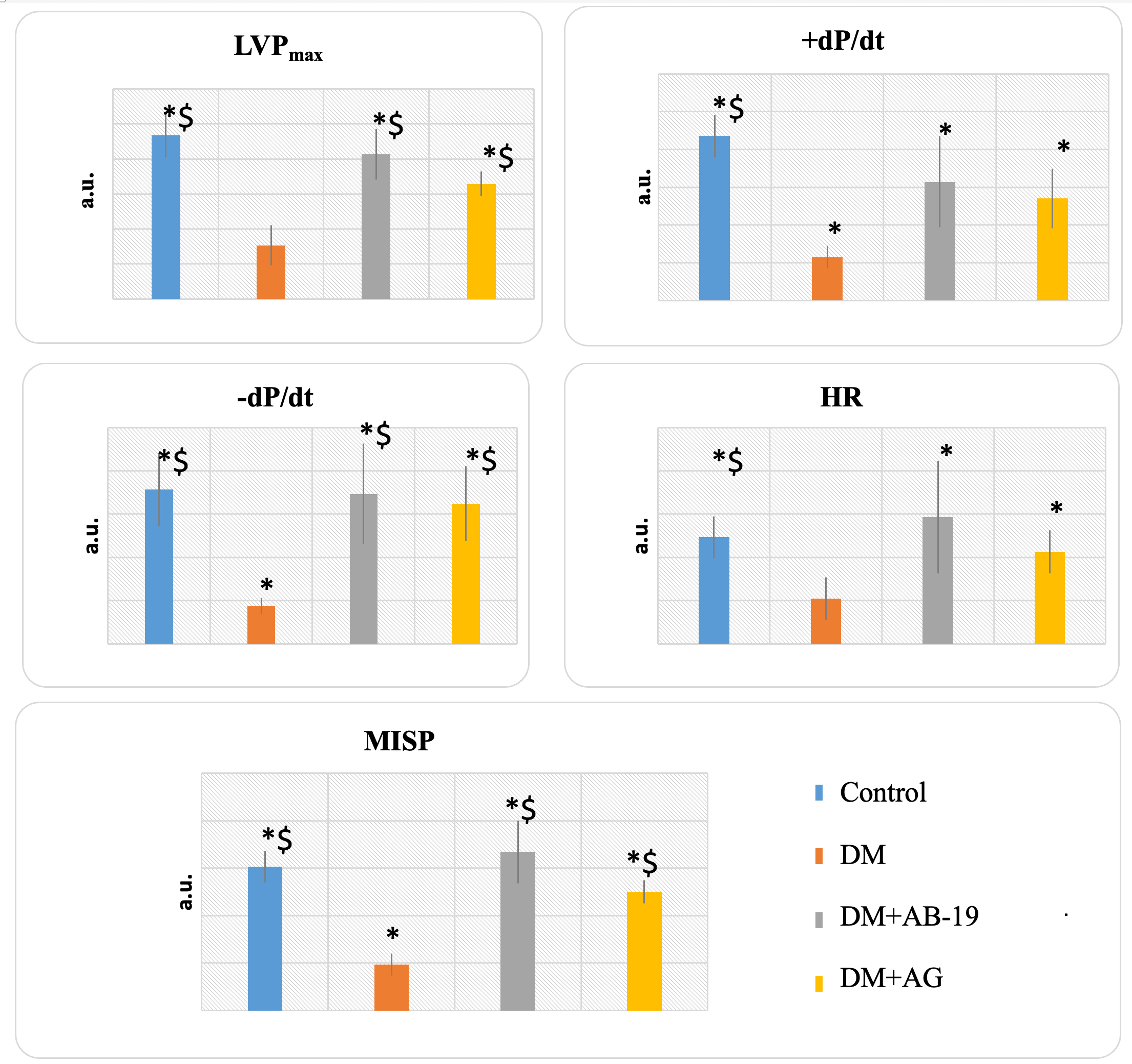
To assess myocardial contractile activity, we employed an afterload increase test. During the test in the intact control group animals, the peak response was observed at 5 s: LVPmax increased by 98.4%, +dP/dt – by 58.3%, -dP/dt – by 36.5%, MISP – by 125% compared to baseline values (p<0.05); HR increased by 14%. These effects were consistently sustained throughout the entire period of aortic occlusion.
The AUC for the pharmacodynamic response of the contractility parameters for LVPmax, +dP/dt and -dP/dt were 4683.7, 2178.4, and 786.1 a.u., respectively. The AUC for HR was 1231.5 a.u., and MISP over the load period was 6060 a.u. (Fig. 2).
In control group animals with 3-month DM, a moderate response to the isometric load was observed, both in terms of the magnitude of the primary response and the sustainability of contractile activity (Fig. 4). Specifically, the maximum increase at the 5 s observation point for LVPmax was 59.2%, for +dP/dt – 45%, for -dP/dt – 35%, for HR – 11.6%, and for MISP – 64.4% compared to baseline values (p < 0.05). These values were lower than those in the intact control group by 39.8%, 22.8%, 4.1%, 17.1%, and 48.5% (p<0.05 in each case), respectively. By the end of the load, the contractility parameters had decreased significantly.
The AUCs for the pharmacodynamic response of the hemodynamic parameters were statistically the lowest among all groups. The AUCs for LVPmax, +dP/dt, -dP/dt and HR were 1531, 575, 437, and 523 a.u., respectively. These values were 3.0, 3.8, 1.8, and 2.4 times lower, respectively, than those in the intact animals (p<0.05) (Fig. 2). The AUC for the MISP during the load was 3.1 times lower compared to that in the intact group (p<0.05) and amounted to 1934 a.u.
The primary response to afterload in diabetic animals treated with compound AB-19 was virtually indistinguishable from that in the intact control group. At the 5 s observation point, LVPmax increased by a maximum of 71%, +dP/dt – by 34%, -dP/dt – by 32.1%, and HR – by 19% compared to baseline values (p<0.05). The increase in the MISP was 95% (p<0.05). Throughout the entire load period, the myocardial contractile activity was sustained in the AB-19-treated diabetic animals. The AUC for the increase in LVPmax, -dP/dt, and MISP were 4136, 1622, and 6680 a.u., respectively. These values were statistically significant (p<0.05), 2.7, 3.7, and 3.5 times higher than those in the control diabetic animals (Fig. 2). The AUCs for +dP/dt and HR were 2.7 and 3.5 times greater, respectively.
A pronounced primary response to afterload was observed in rats with experimental DM treated with aminoguanidine. The maximum increase at the 5 s observation point for LVPmax, +dP/dt, and -dP/dt was 80.8%, 45.2%, and 32.2%, respectively; HR increased by 6% compared to baseline values. The increase in MISP was 94%. The cardiodynamic response was consistently sustained throughout the entire load period. The AUC for LVPmax, +dP/dt, and -dP/dt were 3293, 1351, and 1622 a.u., respectively. These values were 2.2, 2.4, and 3.7 times higher than those in the control diabetic animals (Fig. 2). The AUC for MISP was 5012 a.u.
Thus, in animals with diabetes mellitus (DM), functional stress testing revealed impaired contractility and hemodynamic manifestations of diastolic dysfunction. Following a course of intragastric administration of compound AB-19 (20 mg/kg) or the reference compound aminoguanidine (50 mg/kg), the increase in MISP was achieved through enhanced myocardial contractility without an acceleration of HR. Furthermore, it was demonstrated that the studied compounds ameliorated the manifestations of LV diastolic dysfunction associated with myocardial hypertrophy and fibrosis in diabetic animals. This was evidenced by a significant improvement in the rate of myocardial relaxation (-dP/dt) and an increase in cardiac output during the functional stress test. Compound AB-19 demonstrated superior efficacy compared to the reference agent aminoguanidine.
Figure 2. Effect of intragastric administration of compound AB-19 (20 mg/kg) or aminoguanidine (AG, 50 mg/kg) on cardiac dynamics parameters under conditions of increased afterload in animals with 3-month diabetes mellitus (area under the pharmacodynamic load curve, a.u.). Note: LVPmax – maximal left ventricular pressure; +dP/dt – myocardial contractility rate; -dP/dt – myocardial relaxation rate; HR – heart rate; MISP – maximum intensity of structural performance; a.u. – arbitrary units; DM – diabetes mellitus; * – statistically significant vs. baseline values (p<0.05, Wilcoxon paired non-parametric test); $ – statistically significant vs. diabetic animals (p<0.05, Kruskal-Wallis non-parametric test with Dunn's post hoc test).
Morphological examination of the myocardium
Histological examination of the animals in the intact control group revealed the structure of a normal myocardium. Only a small amount of connective tissue and collagen fibers was detected in the myocardial tissue. Morphometric analysis of the heart sections from the intact animals demonstrated that the mean area of perivascular connective tissue was 3125.35 ± 417.63 μm² (Fig. 3, Table 2).
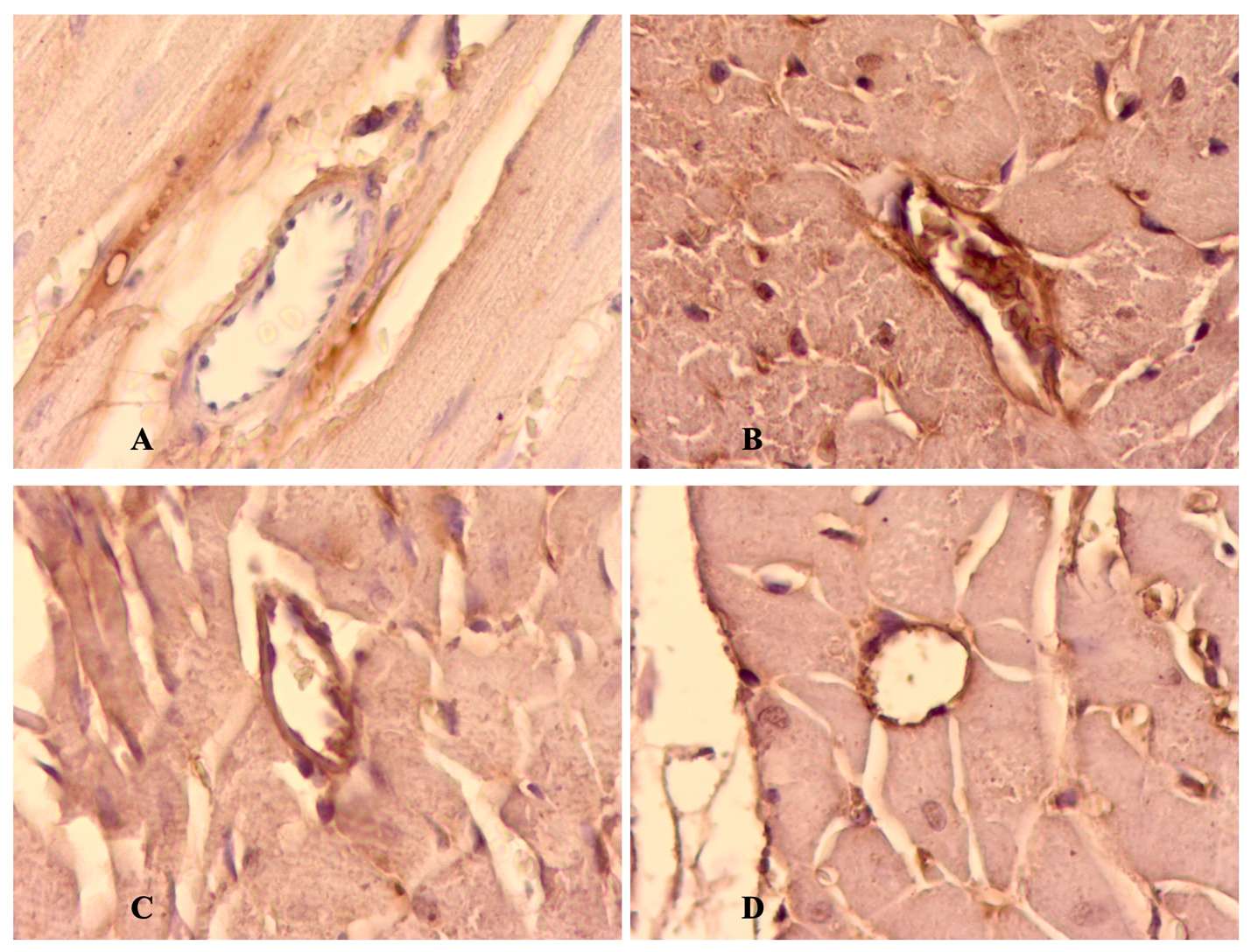
Figure 3. The effect of aminoguanidine (50 mg/kg) and AB-19 (20 mg/kg) on histological changes in the left ventricular myocardium of rats 3 months after modeling experimental diabetes mellitus (DM) (Masson’s trichrome stain; magnification ×100). Note: A – Intact control; B – DM control; C – DM + aminoguanidine 50 mg/kg; D – DM + AB-19 20 mg/kg.
Histological examination of the heart tissue in the control group animals with DM revealed significant pathological alterations alongside preserved muscle fibers. The observed changes included atrophic cardiomyocytes, deformation of individual muscle fibers, and heterogeneous staining of cardiomyocytes. The myocardium exhibited pronounced capillary and venous congestion, accompanied by mild perivascular and interstitial edema. Dystrophy of the intramural myocardial arteries was observed, characterized by frequently deformed vascular lumens and flattened endothelium. The smooth muscle cells displayed dystrophic changes. The perivascular spaces and intermuscular connective tissue septa showed an increased number of connective tissue cells, predominantly fibroblasts and macrophages. Collagen fiber bundles appeared thickened. Morphometric analysis confirmed a 3.2-fold increase (p<0.01) in the mean area of perivascular connective tissue in the heart sections of the diabetic control animals compared to the intact group (Fig. 3, Table 2).
|
Table 2. |
Download as |
||
|
Effect of compound AB-19 and the reference substance aminoguanidine following a course of intragastric administration on morphometric parameters of the heart in rats with experimental diabetes mellitus (M±m) |
|||
|
№ |
Experimental group |
Masson’s stain |
IHC for AGEs |
IHC for RAGE |
||
|
Mean area of perivascular connective tissue, µm² |
IRM area, µm² |
Relative IRM area, % |
IRM area, µm² |
Relative IRM area, % |
||
|
1. |
Intact control |
3125.35 ± 417.63 |
6.37 ± 1.89* |
0.11* |
5.15 ± 1.57* |
0.08* |
|
2. |
DM control |
10238.78 ± 1837.45* |
345.39 ± 125.82 |
8.25 |
605.59 ± 154.57 |
13.30 |
|
3. |
DM + aminoguanidine 50 mg/kg |
4802.47 ± 732.37# |
168.93 ± 75.21* |
4.66* |
202.84 ± 98.77* |
6.33* |
|
4. |
DM + AB-19 20 mg/kg |
6144.21 ± 1838.24# |
197.45 ± 87.63* |
5.10* |
268.79 ± 92.47* |
7.77* |
Note: * – statistically significant vs. intact control (p<0.01, Mann-Whitney U-test); # – statistically significant vs. DM control (p<0.01, Kruskal-Wallis test with Dunn’s post hoc test).
Histological analysis of animals treated with aminoguanidine and compound AB-19 revealed a reduction in perivascular connective tissue and collagen fiber content in the myocardium compared to the diabetic control group. The majority of muscle cells retained distinct cross-striations and contained pale, oval, moderately basophilic nuclei. Moderate perivascular sclerosis was observed. Bundles of collagen fibers with occasional fibroblasts and macrophages were detected within the intermuscular interstitial connective tissue layers. Morphometric analysis demonstrated that the mean area of perivascular connective tissue was statistically significantly reduced by aminoguanidine and AB-19 treatment by 50% and 40%, respectively (p<0.01), compared to the results obtained in the control diabetic animals (Fig. 3, Table 2).
IHC analysis using primary antibodies against AGEs and RAGE, followed by computer-assisted morphometry to determine the area of IRM on left ventricular myocardial sections, revealed a significant increase in both the absolute (Figs 4-5) and relative IRM area in control diabetic animals compared to those in the intact group (p<0.05) (Table 2).
In diabetic animals treated with compound AB-19 or aminoguanidine, a reduction in IRM content was observed upon IHC staining with primary antibodies against AGEs and RAGE (Figs 4-5).
When using antibodies against AGEs, the relative area of immunoreactive material in the left ventricular myocardium of diabetic rats treated with compound AB-19 or aminoguanidine was significantly reduced by 1.6-fold and 1.8-fold, respectively, compared to those in the untreated diabetic group (p < 0.05) (Table 2).
An analogous effect was observed using antibodies against RAGE (Figs 4-5). The relative areas of positive material in AB-19- or aminoguanidine-treated diabetic animals were significantly 1.7-fold and 2.1-fold lower, respectively, than this parameter in the control diabetic group (p < 0.05) (Table 2).
Figure 4. Immunohistochemical study of the effect of aminoguanidine (50 mg/kg) and AB-19 (20 mg/kg) on histological changes in the left ventricular myocardium of rats 3 months after modeling experimental diabetes mellitus using anti-AGE antibodies (Hematoxylin counterstain; magnification ×400). Note: A – Intact control; B – DM control; C – DM + aminoguanidine 50 mg/kg; D – DM + AB-19 20 mg/kg.
Figure 5. Immunohistochemical study of the effect of aminoguanidine (50 mg/kg) and AB-19 (20 mg/kg) on histological changes in the left ventricular myocardium of rats 3 months after modeling experimental diabetes mellitus using antibodies to RAGE (Counterstaining with hematoxylin; magnification ×400). Note: A – Intact control; B – DM control; C – DM + aminoguanidine 50 mg/kg; D – DM + AB-19 20 mg/kg.
Discussion
The molecular mechanisms underlying increased myocardial stiffness in the diabetic heart involve a cascade of events: impaired insulin metabolic signaling → reduced GLUT4 translocation to the cell membrane → decreased activity of sarcoplasmic reticulum Ca²⁺ pumps → elevated intracellular Ca²⁺ levels → prolonged action potential duration and delayed diastolic relaxation (Jia et al. 2018). Aberrant insulin signaling diminishes insulin-stimulated activity of coronary endothelial nitric oxide synthase (eNOS) and NO production, thereby increasing intracellular Ca²⁺ sensitization in cardiomyocytes and impairing sarcoplasmic reticulum Ca²⁺ reuptake (Moldogazieva et al. 2019). Reduced NO bioavailability can also lead to phosphorylation of titin (connectin), increasing the expression ratio of the stiff N2B titin isoform to the more compliant N2BA isoform. These pathophysiological anomalies collectively enhance myocardial stiffness and impair relaxation, manifesting as diabetic cardiomyopathy (Jia et al. 2018).
Hyperglycemia, insulin resistance, and oxidative stress promote the expression of several cardiomyocyte hypertrophy-related genes, such as β-myosin heavy chain, the insulin-like growth factor 1 (IGF-1) receptor, and B-type natriuretic peptide. High insulin levels induce cardiomyocyte hypertrophy by binding to the IGF-1 receptor produced by cardiomyocytes. Insulin can also stimulate cardiomyocyte hypertrophy through the insulin receptor itself, via signaling pathways involving extracellular signal-regulated kinase 1/2 (Erk1/2) and phosphatidylinositol 3-kinase (PI3K) (Jia et al. 2018; Borghetti et al. 2018).
The development of myocardial fibrosis in diabetic cardiomyopathy involves the deposition of stiff collagen and its cross-linking, cardiac interstitial fibrosis, progressive destruction of muscle fibrils, perivascular fibrosis, thickened and sclerotic small coronary vessels, basement membrane thickening, as well as coronary microvascular sclerosis and microaneurysms.
We investigated the effects of the azolo-triazine derivative AB-19 on the development and progression of diabetic cardiomyopathy in an in vivo experiment, using aminoguanidine as a reference compound. Diastolic dysfunction is directly correlated with HbA1c levels, the most probable cause being the accumulation of AGEs in the myocardium (Singh et al. 2014; Ovchinnikova et al. 2025). Both compound AB-19 and the reference drug, upon chronic administration, did not exert a significant effect on fasting blood glucose levels. However, they caused a reduction in blood HbA1c levels compared to untreated animals, albeit without normalizing it completely. This effect is associated with the fact that glycated hemoglobin is formed via the Maillard reaction and is an early product of the glycation process (an Amadori product). Targeting these early stages is considered part of the mechanism of action for cross-link breakers of glycated proteins (Nagai et al., 2012). The findings are consistent with studies measuring AGE levels in the blood and collagenous biomaterial.
The pathogenesis of endothelial dysfunction in DM is rooted in the impaired NO-producing function of the endothelium. AGEs not only inhibit the expression of eNOS in endothelial cells, but also stimulate the formation of peroxynitrite – a reactive, toxic intermediate resulting from the reaction of NO with superoxide anion (Jia et al. 2018; Borghetti et al. 2018). Studies have demonstrated that both aminoguanidine and compound AB-19 restored endothelium-dependent vascular reactivity in animals with experimental diabetes. Evaluation of hemodynamic parameters and myocardial functional reserve in diabetic rats using stress tests revealed that under conditions of increased afterload, compound AB-19 improved myocardial contractility in diabetic animals, sustained it at a sufficiently high level, and exhibited superior efficacy compared to the reference agent, aminoguanidine.
This effect is likely attributable to the attenuation of myocardial hypertrophy and fibrosis in the diabetic animals, a finding corroborated by our histological and immunohistochemical analyses. In the control diabetic group, 3-month duration of diabetes led to the development of distinct histological and histochemical alterations in the left ventricular myocardium. These changes were evidenced by a significant expansion in the absolute and relative area of AGE- and RAGE-positive material. Following a 3-month course of therapy with AB-19 at a dose of 20 mg/kg, a statistically significant (p<0.05 in each case) reduction in the amount of AGE- and RAGE-positive material was observed compared to the results in the control diabetic rats. AB-19 demonstrated superior efficacy to the reference compound, aminoguanidine, in modulating these specific parameters.
In diabetes mellitus, glycation of long-lived proteins occurs, particularly collagen within the connective tissue (Qaed et al. 2025). The formation of AGEs and cross-links on collagen molecules impedes the biodegradation of collagen fibers. The degree of protein cross-linking is inversely proportional to its solubility. In ex vivo studies investigating the potential for cross-link breakdown, glycated tail tendon collagen from diabetic rats treated with the test compounds exhibited statistically significant improvement in solubility compared to the results from the untreated diabetic group.
Thus, we have demonstrated that both aminoguanidine and compound AB-19 produce effects indicative of the biological activity characteristic of anti-glycating agents and glycated protein cross-link breakers, aimed at reducing cardiovascular stiffness. These effects include: improved vascular endothelial function and attenuated manifestations of left ventricular diastolic dysfunction; reduced HbA1c levels, limited development of hypertrophy, decreased total amount of perivascular connective tissue and collagen fibers in the myocardium, reduced levels of AGEs and RAGE, and improved solubility of rat tail collagen.
The impact of AGEs on the cardiovascular tissues in diabetes is primarily mediated through three core mechanisms: cross-linking of extracellular (matrix) proteins, which alters the mechanical properties of tissues, such as elasticity; formation of intermolecular cross-links within intracellular proteins, modifying their function; activation of intracellular signaling cascades triggered by the binding of AGEs to their specific receptors on the cell membrane.
Conclusion
Protein glycation is a key mechanism underlying metabolic memory, which contributes to the development of cardiomyopathies and angiopathies in diabetes mellitus, even when glycemic control meets current treatment standards. It is plausible that early initiation of therapies targeting this pathway could mitigate the functional and structural manifestations of diabetic cardiomyopathy. In this context, compound AB-19 (a 90-day course, 20 mg/kg once daily) represents a highly attractive candidate.
Additional Information
Conflict of interest
The authors declare no conflict of interest. The funders had no role in the design of the study; in the collection, analyses, or interpretation of the data; in the writing of the manuscript; nor in the decision to publish the results.
Ethics statement
The study was approved by the Regional Ethical Committee of Volgograd State Medical University (Registration No. IRB 00005839 IORG 0004900, OHRP), Certificate No.116 dated 16 October 2017.
Data availability
All of the data that support the findings of this study are available in the main text.
Abbreviations
The following abbreviations are used in this manuscript:
DM – diabetes mellitus
LV – left ventricular
LVPmax – maximum left ventricular pressure
HbA1c – glycated hemoglobin
LC – late complications
AGEs – advanced glycation end-products
RAGE – receptors of advanced glycation end-products
AUC – area under the curve
HR – heart rate
MAP – mean arterial pressure
Ach – acetylcholine
SNP – sodium nitroprusside
CED – endothelial dysfunction coefficient
+dP/dt – myocardial contraction rate
-dP/dt – myocardial relaxation rate
MISP – maximum intensity of structural performance
MV – mechanical ventilation
a.u. – arbitrary units
IRM – immunoreactive material
IHC – immunohistochemistry
GLUT – glucose transporter
NO – nitric oxide
eNOS – endothelial nitric oxide synthase
References
§ Avtandilov GG (2002) Fundamentals of Quantitative Pathological Anatomy. Medicine Publishers, Moscow, 240 pp. [in Russian]
§ Bagriy AE, Suprun EV, Mikhaylichenko ES, Golodnikov IA (2020) Heart failure and type 2 diabetes: current state of the problem. Russian Journal of Cardiology [Rossijskij Kardiologicheskij Zhurnal] 25(4): 79–85. https://doi.org/10.15829/1560-4071-2020-3858 [in Russian]
§ Bolton WK, Cattran DC, Williams ME, Adler SG, Appel GB, Cartwright K, Foiles PG, Freedman BI, Raskin P, Ratner RE, Spinowitz BS, Whittier FC, Wuerth JP; ACTION I Investigator Group (2004) Randomized trial of an inhibitor of formation of advanced glycation end products in diabetic nephropathy. American Journal of Nephrology 24(1): 32–40. https://doi.org/10.1159/000075627 [PubMed]
§ Borghetti G, Von Lewinski D, Eaton DM, Sourij H, Houser SR, Wallner M (2018) Diabetic cardiomyopathy: current and future therapies. Beyond glycemic control. Frontiers in Physiology 9: 1514. https://doi.org/10.3389/fphys.2018.01514 [PubMed] [PMC]
§ Dedov II, Shestakova MV, Mayorov AY, Vikulova OK, Galstyan GR, Kuraeva TL, Peterkova VA, Smirnova OM, Starostina EG, Surkova EV, Sukhareva OY, Tokmakova AY, Shamkhalova MS, Jarek-Martynova IR, Beshlieva DD, Bondarenko ON, Volevodz NN, Grigoryan OR, Esayan RM, Ibragimova LI, Kalashnikov VY, Lipatov DV, Shestakova EA (2017) Standards of specialized diabetes care. Diabetes Mellitus [Saharnyj Diabet] 20(1S): 8–110. https://doi.org/10.14341/DM20171S8 [in Russian]
§ Dedov II, Shestakova MV, Vikulova OK, Zheleznyakova AV, Isakov MA, Sazonova DV, Mokrysheva NG (2023) Diabetes mellitus in the Russian Federation: dynamics of epidemiological indicators according to the federal register of diabetes mellitus for the period 2010–2022. Diabetes Mellitus [Saharnyj Diabet] 26(2): 104–123. https://doi.org/10.14341/DM13035 [in Russian]
§ Dedov II, Shestakova MV, Vikulova OK, Zheleznyakova AV, Isakov MA (2018) Diabetes mellitus in Russian Federation: prevalence, morbidity, mortality, parameters of glycaemic control and structure of glucose lowering therapy according to the federal diabetes register, status 2017. Diabetes Mellitus [Saharnyj Diabet] 2(3): 144–159. https://doi.org/10.14341/DM9686 [in Russian]
§ Ennis IL, Escudero EM, Console GM, Camihort G, Dumm CG, Seidler RW, Camilion de Hurtado MC, Cingolani HE (2003) Regression of isoproterenol-induced cardiac hypertrophy by Na+/H+ exchanger inhibition. Hypertension 41(6): 1324–1329. https://doi.org/10.1161/01.hyp.0000071180.12012.6e [PubMed]
§ Giacco F, Brownlee M (2010) Oxidative stress and diabetic complications. Circulation Research 107(9): 1058–1070. https://doi.org/10.1161/CIRCRESAHA.110.223545 [PubMed] [PMC]
§ International Diabetes Federation (2021) IDF Diabetes Atlas, 10th ed. Brussels, Belgium. [cited 11 October 2025]. Available from: https: //www.diabetesatlas.org
§ Ivannikova EV, Smirnova OM (2019) The role of glycation end products and their receptors in the development of diabetes complications. Effective Pharmacotherapy. Endocrinology [Effektivnaya Farmakoterapiya. Endokrinologiya] 1(5): 20–26. [in Russian]
§ Jia G, Hill MA, Sowers JR (2018) Diabetic cardiomyopathy: an update of mechanisms contributing to this clinical entity. Circulation Research 122(4): 624–638. https://doi.org/10.1161/CIRCRESAHA.117.311586 [PubMed] [PMC]
§ Karayiannides S, Djupsjö C, Kuhl J, Hofman-Bang C, Norhammar A, Holzmann MJ, Lundman P (2021) Long-term prognosis in patients with acute myocardial infarction and newly detected glucose abnormalities: predictive value of oral glucose tolerance test and HbA1c. Cardiovascular Diabetology 20(1): 122. https://doi.org/10.1186/s12933-021-01315-5 [PubMed] [PMC]
§ Kim J, Kim CS, Sohn E, Lee YM, Jo K, Shin SD, Kim JS (2014) Aminoguanidine protects against apoptosis of retinal ganglion cells in Zucker diabetic fatty rats. European Review for Medical and Pharmacological Sciences 18(11): 1573–1578. [PubMed]
§ Kochakian M, Manjula BN, Egan JJ (1996) Chronic dosing with aminoguanidine and novel advanced glycosylation end product-formation inhibitors ameliorates cross-linking of tail tendon collagen in STZ-induced diabetic rats. Diabetes 45: 1694–1700. https://doi.org/10.2337/diab.45.12.1694 [PubMed]
§ Li Q, Zhang J, Wang Y, Xu G (2009) Molecular spectral imaging system for quantitative immunohistochemical analysis of early diabetic retinopathy. Applied Spectroscopy 63(12): 1336–1342. https://doi.org/10.1366/000370209790108897 [PubMed]
§ Maltsev DV, Spasov AA, Kosolapov VA, Sultanova KT, Miroshnikov MV, Kotovskaya SK, Sapozhnikova IM, Rusinov VL (2020) Neurotoxicological properties of the compound AB-19 for prophylaxis and treatment of complications of diabetes mellitus. Toxicological Review [Toksikologicheskij Vestnik] 4: 39–43. https://doi.org/10.36946/0869-7922-2020-4-39-43 [in Russian]
§ Mironov AN, Bunatyan ND, Vasiliev AH (2012) Guidelines for Conducting Preclinical Studies of Medicinal Products. Part one. Grif and K Publishers, Moscow, 944 pp. [in Russian]
§ Miyauchi Y, Shikama H, Takasu T, Okamiya H, Umeda M, Hirasaki E, Ohhata I, Nakayama H, Nakagawa S (1996) Slowing of peripheral motor nerve conduction was ameliorated by aminoguanidine in streptozocin-induced diabetic rats. European Journal of Endocrinology 134(4): 467–473. https://doi.org/10.1530/eje.0.1340467 [PubMed]
§ Moldogazieva NT, Mokhosoev IM, Mel’nikova TI, Porozov YB, Terentiev AA (2019) Oxidative stress and advanced lipoxidation and glycation end products (ALEs and AGEs) in aging and age-related diseases. Oxidative Medicine and Cellular Longevity 2019(1): 3085756. https://doi.org/10.1155/2019/3085756 [PubMed] [PMC]
§ Nagai R, Murray DB, Metz TO, Baynes JW (2012) Chelation: a fundamental mechanism of action of AGE inhibitors, AGE breakers, and other inhibitors of diabetes complications. Diabetes 61(3): 549–559. https://doi.org/10.2337/db11-1120 [PubMed] [PMC]
§ Ovchinnikova MA, Markova TN, Shkodkina VV, Belyaeva OA (2025) Diabetic cardiomyopathy: definition, right to exist. Diabetes Mellitus [Saharnyj Diabet] 28(4): 387–396. https://doi.org/10.14341/DM13250 [in Russian]
§ Pokrovskii MV, Kochkarov VI, Pokrovskaja TG, Gladchenko MP, Artjushkova EB, Pashin EN, Brusnik MV, Chulukova TN, Kljavs JP, Korneev MM, Zelenkova TI, Malyhin VA, Belous AS, Zaloznyh JI, Majakov AI (2006) Methodical approaches for the quantitative estimation of development endothelial dysfunction at L-NAME-the induced model of deficiency of nitric oxide in experiment. Kuban Scientific Medical Bulletin [Kubanskij Nauchnyj Medicinskij Vestnik] 10: 72–77. [in Russian]
§ Qaed E, Aldahmash W, Mahyoub MA (2025) Advanced glycation end products (AGEs) and their role in diabetes mellitus and related complications: mechanisms and therapeutic insights. Glycoconjugate Journal 42(5-6): 209–223. https://doi.org/10.1007/s10719-025-10194-x [PubMed]
§ Rusinov VL, Chupakhin ON, Charushin VN, Sapozhnikova IM, Bliznik AM, Spasov AA, Petrov VI, Kuznetsova VA, Solovyova OA, Matsevich AI (2017) 4-Oxo-1,4-dihydropyrazolo[5,1-c]-1,2,4-triazine-3,8-dicarboxylic acid diethyl ester sodium salt, monohydrate: Patent RU 2612300 C1 Published 06.03.2017. [in Russian]
§ Singh VP, Bali A, Singh N, Laggi AS (2014) Advanced glycation end products and diabetic complications. The Korean Journal of Physiology & Pharmacology 18(1): 1–14. https://doi.org/10.4196/kjpp.2014.18.1.1 [PubMed] [PMC]
§ Spasov AA, Zhukovskaya ON, Rashchenko AI, Brigadirova AA, Litvinov RA, Gurova NA, Smirnov AV, Pan’shin NG, Abbas HSA, Morkovnik AS (2022) DF-5 compound delays development of diabetic nephropathy in rats. Pharmacy & Pharmacology 10(6): 549–561. https://doi.org/10.19163/2307-9266-2022-10-6-549-561
§ Tyurenkov IN, Perfilova VN (2012) Guidelines for preclinical studies of the cardiotonic activity of drugs. Guidelines for Conducting Preclinical Studies of Medicinal Products. Part one. Grif and K Publishers, Moscow, 375-384. [in Russian]
§ Wei M, Ong L, Smith MT, Ross FB, Schmid K, Hoey AJ, Burstow D, Brown L (2003) The streptozotocin-diabetic rat as a model of the chronic complications of human diabetes. Heart, Lung and Circulation 12(1): 44–50. https://doi.org/10.1046/j.1444-2892.2003.00160.x [PubMed]
§ Wong ND, Sattar N (2023) Cardiovascular risk in diabetes mellitus: epidemiology, assessment and prevention. Nature Reviews Cardiology 20(10): 685–695. https://doi.org/10.1038/s41569-023-00877-z [PubMed]
§ Yamagishi SI, Nakamura N, Suematsu M, Kaseda K, Matsui T (2015) Advanced glycation end products: a molecular target for vascular complications in diabetes. Molecular Medicine 21(S1): 32–40. https://doi.org/10.2119/molmed.2015.00067 [PubMed] [PMC]
§ Zhukovskaya ON, Spasov AA, Petrov VI, Raschenko AI, Litvinov RA, Morkovnik AS, Gurova NA, Smirnov AV, Schmidt MV, Pan’shin NG. Naumenko LV, Anisimova VA (2019) A drug with cardio-, nephro-, endothelio-, microangio-, macroangio- and encephaloprotective properties. Patent RU 2700791 C1 Published September 23, 2019. [in Russian]
Author Contribution
§ Natalia A. Gurova, Doctor Habil. of Medical Sciences (DSc), Professor of the Department of Pharmacology and Bioinformatics, Volgograd State Medical University, Volgograd, Russia; e-mail: gurova.vlgmed@mail.ru; ORCID ID: https://orcid.org/0000-0002-0670-1444. The author took part in conducting experimental work and analyzing the material, analyzed the results, and edited the text of the article.
§ Vadim A. Kosolapov, Doctor Habil. of Medical Sciences (DSc), Professor of the Department of Pharmacology and Bioinformatics, Head of Laboratory for Metabotropic Drugs of Scientific Center for Innovative Medicines, Volgograd State Medical University, Volgograd, Russia; e-mail: vad-ak@mail.ru; ORCID ID: https://orcid.org/0000-0002-6702-1207. The author advised on the design of the study, analyzed the results, and edited the text of the article.
§ Alexey V. Smirnov, Doctor Habil. of Medical Sciences (DSc), Professor, Head of the Department of Pathological Anatomy, Volgograd State Medical University, Volgograd, Russia; e-mail: alexey-smirnov@rambler.ru; ORCID ID: https://orcid.org/0000-0001-5351-6105. The author advised on the design of the study, analyzed the results and edited the text of the article.
§ Denis A. Babkov, Doctor of Pharmaceutical Sciences (DSc), Professor of the Department of Pharmacology and Bioinformatics, Head of Scientific Center for Innovative Medicines, Volgograd State Medical University, Volgograd, Russia; e-mail: denis.a.babkov@gmail.com; ORCID ID: https://orcid.org/0000-0002-9645-3324. The author took part in conducting experimental work and analyzing the material.
§ Valentina A. Babkova, Candidate of Medical Sciences (PhD), Senior researcher, Scientific Center for Innovative Medicines, Volgograd State Medical University, Volgograd, Russia; e-mail: sysoeva_va@mail.ru; ORCID ID: https://orcid.org/0000-0003-1738-0567. The author took part in conducting experimental work and analyzing the material.
§ Alena S. Taran, Candidate of Medical Sciences (PhD), Assistant Professor of the Department of Pharmacology and Bioinformatics, Volgograd State Medical University, Volgograd, Russia; e-mail: alena-beretta-taran@mail.ru; ORCID ID: https://orcid.org/0000-0001-8477-254X. The author was engaged in conducting the experimental work.
§ Nikolay G. Panshin, Candidate of Medical Sciences (PhD), Assistant Professor of the Department of Pathological Anatomy, Volgograd State Medical University, Volgograd, Russia; e-mail: panshin.nickolay@gmail.com; ORCID ID: https://orcid.org/0000-0002-4035-4108. The author was engaged in conducting the experimental work.
§ Svetlana K. Kotovskaya, Candidate of Chemical Sciences (PhD), Senior Researcher of the Laboratory for the Synthesis of Biologically Active Compounds, Head of the Laboratory Pharmaceutical Substances Standardization of Innovative Centre for Chemical & Pharmaceutical Technologies, Ural Federal University Named after the First President of Russia B. N. Yeltsin, Ekaterinburg, Russia; e-mail: s.k.kotovskaya@urfu.ru; ORCID ID: https://orcid.org/0000-0002-3213-9838. The author advised on methods of synthesis, physicochemical analysis, and edited the text of the article.
§ Irina M. Sapozhnikova, Candidate of Chemical Sciences (PhD), Junior Researcher of the Laboratory for the Synthesis of Biologically Active Compounds, Ural Federal University Named after the First President of Russia B. N. Yeltsin, Ekaterinburg, Russia; e-mail: i.m.sapozhnikova@urfu.ru; ORCID ID: https://orcid.org/0000-0002-5193-9670. The author carried out and scaled up chemical synthesis.
§ Vladimir L. Rusinov, Doctor Habil. of Chemical Sciences (DSc), Professor, Corresponding Member of the Russian Academy of Sciences, Head of Organic & Biomolecular Chemistry Department, Head of the Laboratory of Organic Synthesis, Innovative Centre for Chemical & Pharmaceutical Technologies, Ural Federal University Named after the First President of Russia B. N. Yeltsin, Ekaterinburg, Russia; e-mail: vladimir-rusinov0103@yandex.ru; ORCID ID: https://orcid.org/0000-0002-1705-4078. The author advised on the research idea, analyzed the results and edited the text of the article.
§ Alexander A. Spasov, Doctor Habil. of Medical Sciences (DSc), Professor, Corresponding Member of the Russian Academy of Sciences, Chairman of the Department of Pharmacology and Bioinformatics, Scientific advisor of Scientific Center for Innovative Medicines, Volgograd State Medical University, Volgograd, Russia; e-mail: aspasov@mail.ru; ORCID ID: https://orcid.org/0000-0002-7185-4826. The author advised on the research idea, the concept and design of the study, analyzed the results, and edited the text of the article.
Copyright (c) 2026 Gurova NA, Kosolapov VA, Smirnov AV, Babkov DA, Babkova VA, Taran AS, Panshin NG, Kotovskaya SK, Sapozhnikova IM, Rusinov VL, Spasov AA

This work is licensed under a Creative Commons Attribution 4.0 International License.
