Neuroprotective activity of Styphnolobium japonicum fruit extract in cerebral ischemia-reperfusion injury
Sergey M. Gulyaev1, Olga L. Saybel2, Andrey I. Radimich2, Tamara D. Dargaeva2, Tamara D. Rendyuk3
1Institute of General and Experimental Biology of the Siberian Branch of the Russian Academy of Sciences; 6 Sakhyanovoy St., Ulan-Udeh 670047 Russia;
2All-Russian Scientific Research Institute of Medicinal and Aromatic Plants; 7 Grina St., Moscow 117216 Russia,
3Sechenov First Moscow State Medical University; 8-2 Trubetskaya St., Moscow 119991 Russia.
Corresponding author: Olga L. Saybel (saybel@vilarnii.ru)
Abstract
Introduction: Recently, there has been a growing interest in the study of flavonoids with neuroprotective activity. Fruits of the Styphnolobium japonicum can be used as the source of such flavonoids. The research aim was to determine the neuroprotective effect of Styphnolobium japonicum fruit extract (SFE) in rats with cerebral ischemia-reperfusion.
Materials and Methods: In the experiment, Wistar rats were used, divided into groups: 1 – sham operated rats, water; 2 – control, water + cerebral ischemia-reperfusion (I-R); 3 – rats treated with SFE at a dose of 200 mg/kg + I-R; 4 – rats treated with ginkgo biloba extract (GBE) at a dose of 50 mg/kg + I-R. The I-R model was reproduced in rats by the occlusion of the common carotid arteries with hypotension. The SFE effect on the neurological status of animals and their behavior was determined using neurological and ethological tests such as an open field (OF) and an elevated plus maze (EPM) ones. The SFE effect on the brain morphofunctional state in the rats with ischemia-reperfusion was determined by the pathomorphological examination.
Results: The neurological deficit in the test groups was 3 times lower than the control values, the indicators of motor activity in the OF test were 2 times higher; the level of anxiety in rats in the EPM test was lower: the number of visits to the open arms of the maze and the duration of stay there were 3.8 times and 10 times greater, respectively, compared with those in the control. In the test group rats, the proportions of regressive forms of neurons in the cortex and hippocampus were lower than in the control rats. The dominant component here is sophoraflavonoloside.
Conclusion: SFE has a neuroprotective effect on rats with cerebral ischemia-reperfusion. The SFE neuroprotective effect may presumably be due to the activity of kaempferol glycosides, the dominant of which is sophoraflavonoloside.
Graphical Abstract
Keywords: Styphnolobium japonicum, fruits, sophoraflavonoloside, kaempferol glycosides, cerebral ischemia-reperfusion, neuroprotection, morphology
Introduction
Increase in life expectancy to 81 years by 2036 is currently one of the main objectives of the national development strategy in the Russian Federation; it is aimed at maintenance and promotion of health of our country population. This priority of state policy necessitates applying actions that promote the preservation of psychosocial health and maintain active longevity of the older generation. At the same time, special attention should be paid to early diagnosis and timely correction of the central nervous system disorders against background of cardiovascular and brain cerebrovascular diseases (Cherdak et al. 2024).
To date, the choice of drugs for the treatment of neurodegenerative pathologies is very limited; the use of them is predominantly symptomatic and is often accompanied by side effects. In this regard, it is important to develop new effective and safe neuroprotective drugs.
Recently, there has been a growing interest in plants containing flavonoids in experimental pharmacology (Cheng et al. 2022). These compounds can influence the regulatory and signaling mechanisms in the central nervous system, reduce inflammatory reactions and oxidative processes, as well as stimulate neurogenesis and, in general, inhibit the development of neurodegenerative processes (Flanagan et al. 2018). Such substances include kaempferol (Shadman et al. 2025; Zeng et al. 2025), quercetin (Cai et al. 2025; Danis et al. 2025; Yang et al. 2025), genistein (Li et al. 2022; Yang et al. 2022), and their derivatives.
Fruits of the deciduous Japanese pagoda tree (Styphnolobium japonicum (L.) Schott.), also known as Sophora japonica, member of Fabaceae family, can be used as the source of these flavonoids (Guoet al. 2024).
A method to obtain a dry purified extract from Styphnolobium japonicum fruits (SFE) containing at least 50% of the total flavonoids in terms of sophoraflavonoloside has been developed at the All-Russian Scientific Research Institute of Medicinal and Aromatic Plants (Moscow, Russia). An earlier study found that SFE has antioxidant activity and exhibits a pronounced brain protective effect in global cerebral ischemia (Saybel et al. 2024).
The purpose of this work was to determine the neuroprotective effect of SFE on rats with cerebral ischemia-reperfusion injury.
Materials and Methods
Research object
Dried Styphnolobium japonicum fruits harvested in the Republic of Crimea in 2022 were used to obtain SFE. The crushed fruits were extracted three times with 70% ethyl alcohol, and then the extracts were combined, concentrated under vacuum, purified with ethyl acetate and separated from the insoluble precipitate by filtration. The purified aqueous residue was exhaustively extracted with n-butanol. The butanol extracts were combined, concentrated with a rotary evaporator, and then dried. The resulting extract was used for research.
Sophoraflavonoloside isolation and identification
Sophoraflavonoloside isolation was performed with adsorption column chromatography. SFE for the preliminary separation of substances was chromatographed on polyamide using a water-methanol mixture as an eluent, with an increase in the gradient of the latter. As a result, fractions containing the target substance were obtained, which were combined and concentrated. The resulting fraction was chromatographed on silica gel, while the eluent was an ethyl acetate-methanol mixture, with an increase in the gradient of the latter. Then the fractions containing sophoraflavonoloside and free of impurities were combined and concentrated to a dry residue. The target substance was crystallized from aqueous ethanol.
The content of the target substance in the fractions during chromatography was controlled by HPLC-UV using a Prominence-i LC-2030C 3D chromatograph (Shimadzu, Japan) on a column Luna 5 µm C18 100 Å (250 x 4.6 mm), column temperature 30 °C, mobile phase flow rate 1 mL/min, sample volume 10 mL. Elution was performed in a gradient mode (solvent system of 0.2% formic acid (A) and acetonitrile (B) solution): 0-20 min – 10%B, 20-30 min – 10-25% B, 30-40 min – 40% B, 40-44 min – 60% B, 44-48 min – 80% B, 48-60 min – 10 % B.
The structure of the isolated compound was determined by NMR spectroscopy using an Avance III HD 500 spectrometer (Bruker, USA) with an operating core frequency of 1H – 500.13MHz.
Animals
The experiments were carried out on male Wistar rats aged 10–11 weeks weighing 220–230 g. The animals were divided into 4 groups (n=10 each): group 1 – sham operated rats, water; group 2 – control, water + ischemia-reperfusion; group 3 – rats treated with SFE at a dose of 200 mg/kg + ischemia-reperfusion; group 4 – rats treated with Ginkgo biloba extract (Evalar, Russia) at a dose of 50 mg/kg (GBE) + ischemia-reperfusion. The test drugs were intragastrically administered to the experimental group rats once for 14 days before and after surgery until the end of the entire experiment. The sham group rats and the control group rats were provided with distilled water according to a similar treatment plan.
SFE and GBE were used in isoeffective doses (Saybel et al. 2024).
Cerebral ischemia-reperfusion injury model
The rats were anesthetized with intraperitoneal administration of sodium thiopental at a dose of 45 mg/kg. A median skin incision was made on the neck anterior surface and then both common carotid arteries as well as the jugular vein were isolated. Blood was taken from the jugular vein with a heparinized syringe (10 units); an average blood pressure (BP) of 50 mmHg was reached there. BP was monitored with an ESM303 veterinary BP monitor (Shenzhen Med-link Electronics Tech Co, Ltd, China). After that, neurosurgical clips were applied to both arteries. After exactly 10 minutes, they were removed, and the volume of circulating blood was replenished by reinfusion. The same manipulations were performed in group 1 rats, but without blood collection and artery compression.
Assessment of neurological deficits
To assess motor disorders in rats after surgery, Bederson test was used (Bederson et al. 1986). The dynamics/regression of neurological disorders was determined in 24 hours, on the 7th and 14th days after surgery. The severity of neurological disorders in rats was assessed in points according to the following scale: 0 – absence of neurological disorders; 1 – inability to fully straighten the forelimb; 2 – decreased resistance to lateral pressure on the trunk; 3 – circular motion; 4 – inability to walk independently and impaired consciousness.
Open field test
The SFE effect on rat behavior was determined on the 14th day after surgery using standard ethological tests: open field and elevated plus maze (Buresh et al. 1991). In the open field test, the number of intersected peripheral/central squares (horizontal activity), the number of standing up on their hind legs (vertical activity), as well as the number of defecation and grooming acts were recorded.
Elevated plus maze test
In the elevated plus maze test, the number of visits to the “open” and “closed” arms of the maze and the duration of stay there were recorded (Buresh et al. 1991).
Pathomorphological examination
After the test was completed, the animals were removed from the experiment by decapitation under anesthesia. The brain was taken from each animal of the group (n=3) for morphological examination and placed in a 10% neutral formalin solution. Coronary sections were prepared from fixed brain tissue, from a bregma of 2.80 to 3.80 mm (Paxinos and Watson 2007). After performing standard histological procedures, brain samples were embedded in paraffin wax. Then, sections of 4-5 microns thick were prepared from paraffin blocks, using a rotary microtome. The de-waxed sections were then stained with cresyl violet using the Nissl method (Merkulov et al. 1969) Morphological studies of brain micro-preparations were performed using a light microscope (Motic, China) and corresponding software (Motic Images 2000).
Statistical methods
The normality of the distribution was assessed by the Shapiro-Wilk test. The statistical analysis between groups was carried out by one-way analysis of variance (ANOVA) followed by Bonferroni’s multiple comparison tests. All data were presented as M±m (p<0.05).
Results
As a result of previous phytochemical studies, it was found that the main biologically active agents of the substance under study are flavonoids; content of them in terms of sophoraflavonoloside is 50.82±1.02%. Glycosides kaempferol, quercetin, and genistein, as well as aglycones genistein and kaempferol, were identified in SFE using the HPLC-UV-MS/MS (Saybel et al. 2024). At the same time, it was found that the dominant SFE component is sophoraflavonoloside (kaempferol-3-sophoroside). We isolated and identified this compound to confirm its chemical structure. The HPLC chromatogram of compound isolated with purity of 98.6% is shown in Figure 1.
Analysis of the 1H NMR spectrum showed that the number of proton units, multiplicity, chemical shifts, and interaction constants of the isolated substance have the following values: H-2’, H-6’ (2H; 8.06, doublet; 8.9 Hz), H-3’, H-5’ (2H; 6.93; d; 8,9Hz), H-6 (1H; 6.42; 2.1Hz), H-8 (1H; 6.22; d; 2.1Hz), H-1’ (1H; 5.46; d; 7,6Hz), H-1’’ (1H; 7.51; d; 7.5Hz), H-2’ (1H; 3.76; k; 9.0; 7.6Hz), H-3’ (1H; 3.62; t; 9.0Hz), which confirms the structure of sophoraflavonoside (Fig. 2).
Figure 1. HPLC-UV chromatogram of SFE (a) and sophoraflavonoloside (b). Note: SFE – Styphnolobium japonicum fruit extract.
Figure 2. 1H-NMR spectrum (D-methanol) of sophoraflavonoloside.
Effect of SFE on neurological deficit in cerebral ischemia-reperfusion rats
The cerebral ischemia-reperfusion injury model caused neurological deficit in control rats, which was recorded after 24 hours and on the 7th day of the experiment; and it decreased on the 14th day (Table 1). The indicators of neurological deficit in the experimental groups were less than those values in the control ones: 1.4 – 1.5 times 24 hours after surgery; on the 7thday, they decreased by 2 and 3 times, respectively, in rats treated with SFE and with the comparison drug; the intergroup differences were insignificant on the 14th day.
|
Table 1. |
Download as |
||
|
Effect of the SFE on neurological deficit in rats with cerebral ischemia-reperfusion |
|||
|
Animal groups |
24 hours |
7th day |
|
0 |
0 |
|
|
Control (H2O dist.) |
2.2±0.25 |
2.1±0.27 |
|
SFE, 200 mg/kg |
1.5±0.03* |
0.6±0.16* |
|
GBE,50 mg/kg |
1.6±0.16 |
0.9±0.18* |
Note: * differences are significant compared to control at p<0.05; SFE – Styphnolobium japonicum fruit extract, GBE – ginkgo biloba extract.
SFE effect on animal behavior in the open field test
Cerebral ischemia-reperfusion caused a decrease in behavioral activity of the injured rats: in the control group, the indicators of horizontal and vertical activity were 2.3 and 3.4 times lower compared with those in the sham group. And at the same time, the number of grooming acts and bolus numbers increased 1.8 and 1.6 times, respectively. In SFE-treated rats, horizontal motor activity was 1.7 times higher, and vertical activity was 2.2 times higher compared with that in the control animals. The number of grooming acts and the number of boluses was 2 times less than in the control group, indicating a decrease in anxiety levels (Table 2). In GBE-treated rats, vertical activity was lower compared with that in experimental group 1, but other values under comparison showed no significant differences.
|
Table 2. |
Download as |
||
|
The SFE effect on rat behavior in open field test in case of cerebral ischemia-reperfusion injury |
|||
|
Animal group |
Horizontal activity |
Vertical activity |
Grooming |
Boluses |
|
Sham (H2Odist.) |
22.3±1.15 |
14.2±1.93 |
2.7±0.49 |
2.9±0.58 |
|
Control (H2Odist.) |
9.8±1.12* |
4.1±0.67* |
5.0±0.36* |
4.7±0.49* |
|
SFE, 200 mg/kg |
16.6±1.35** |
9.1±0.91** |
2.6±0.54 |
2.4±0.34* |
|
GBE,50 mg/kg |
17.4±1.96** |
6.6±0.79** |
2.4±0.50 |
2.9±0.58 |
Note: * – differences are significant compared to sham operated animals, ** – compared to control, p<0.05; SFE – Styphnolobium japonicum fruit extract, GBE – ginkgo biloba extract.
SFE effect on rat behavioral activity in elevated plus maze test
In rats with cerebral ischemia-reperfusion injury, increased anxiety level was observed in the elevated plus maze test: the number of visits to the maze open arms and the duration of stay there were less than those in sham-operated rats (p<0.05) (Table 3). During the experiment, it was found that in SFE-treated rats, the number of visits to the open arms and the duration of stay there were less than those in sham-operated rats (p<0.05) (Table 3). During the experiment, it was found that in SFE-treated rats, the number of exits to the open arms and the duration of stay there was 3.8 times and 10 times higher than in the control rats, respectively. In GBE treated rats, the indicator values were also higher than in the control rats, but they were slightly lower than those in SFE-treated rats.
|
Table 3. |
Download as |
||
|
The SFE effect on rat behavior in elevated plus maze test in case of cerebral ischemia-reperfusion |
|||
|
Indicators |
Animal groups |
|||
|
Sham (H2O dist.) |
Control (H2O dist.) |
SFE, 200 mg/kg |
GBE,50 mg/kg |
|
|
Number of entries |
||||
|
Open arms |
3.3±0.42 |
1.0±0.29* |
3.8±0.58** |
2.1±0.39** |
|
Closed arms |
2.8±0.62 |
1.3±0.24 |
1.3±0.23 |
1.4±0.22 |
|
Duration of stay in the arms, sec |
||||
|
Open arms |
14.6±1.62 |
0.9±0.38* |
9.2±0.92** |
7.0±0.86** |
|
Closed arms |
279.0±3.73 |
298.0±0.73 |
283.6±2.04 |
282.8±1.42 |
Note: * – differences are significant compared to sham operated animals, ** – compared to control, p<0.05; SFE – Styphnolobium japonicum fruit extract, GBE – ginkgo biloba extract.
Pathomorphological examination
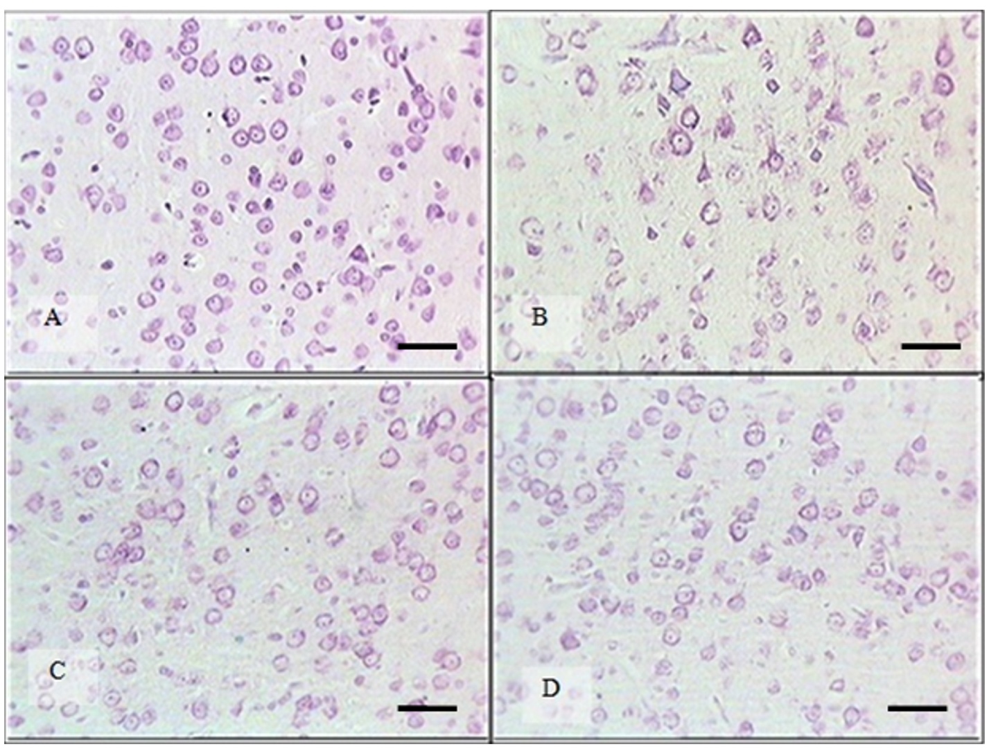
During pathomorphological examination of brain micro-preparations of the control rats with ischemia-reperfusion, necrotic changes of neurons were observed in the sensorimotor cortex, but namely: hyperchromia with wrinkling and pericellular edema, swelling of the bodies of neurons with deformation of the nuclei, destruction of the cell membrane and signs of autolysis (Fig. 3B). At the same time, damage to neurons was characterized by secondary changes in the form of deformation of the nucleus and the cells themselves with a pattern of karyolysis and autophagy. Along with the above-mentioned necrobiosis signs, there were neurons with dystrophic changes in the form of swelling of the nuclei and cells themselves with pale cytoplasm (chromatolysis) but retaining the integrity of the plasma membrane, which are signs of reversible neuron dystrophy. Cases of cytolysis and “shadow cells” were often observed in the fields of vision.
SFE and GBE course injections to rats had a similar neuroprotective effect on the structure of the cerebral cortex: the pathomorphological picture consisted of a smaller number of neurons with hyperchromia and wrinkling. Neurons with partial chromatolysis were mainly noted (Figs 3 C and D). A smaller proportion of neurons were observed in the visual fields, the cytoplasm of which contained small/medium vacuoles, while the shapes of their nuclei were normal, and the integrity of the plasma membrane was preserved, indicating their viability. Along with this, there were neurons with karyolysis signs, as well as “shadow cells” and neuronophagy, but it was significantly rarely compared to the control. However, the number of normochromic neurons without damage was lower compared to the sham-operated negative control (Fig. 3A).
In the dorsal hippocampus (CA1) of the control rats, a decrease in cell density and disintegration of the pyramidal layer were noted (Fig. 4B). The presence of hyperchromic shrunken neurons was noted, as well as neurons with core deformity, signs of severe dystrophy, in the cytoplasm of which medium and large vacuoles were contained. Neurons with cytoplasmic swelling and chromatolysis were also observed. In a similar section of the dorsal hippocampus (CA1) in rats treated with SFE and GBE, the pyramidal layer was ordered, and neurons with dystrophic phenomena were noted much less frequently than in the control group (Figs 4 C and D). Dystrophic phenomena were reversible and consisted in cell swelling and cytoplasmic hypochromia. Morphological changes in hippocampal neurons of rat treated with GBE differed little from the same cells of rats treated with SFE. The cellular density of the pyramidal layer of the hippocampus in the experimental group rats was slightly lower than that in the sham-operated rats (Fig. 4A).
Figure 3. Photomicrographs of the cerebral cortex (anterior parietal region)of rats with cerebral ischemia-reperfusion, 21 days. A – sham; B – control; C – SFE, 200 mg/kg; D – GBE, 50 mg/kg. nissl staining, magnification ×400, scal bars = 50 µm. Note: SFE – Styphnolobium japonicum fruit extract, GBE – ginkgo biloba extract.
Figure 4. Representative photomicrographs of the dorsal hippocampus of rats with cerebral ischemia-reperfusion, 21 days. A – sham; B – control; C – SFE, 200 mg/kg; D – GBE, 50 mg/kg. nissl staining, magnification ×400, Scal bars = 50 µm. Note: SFE – Styphnolobium japonicum fruit extract, GBE – ginkgo biloba extract.
Discussion
The cerebral ischemia-reperfusion injury model used in the experiment leads to the development of pronounced neurological disorders and stable behavioral changes in rats, revealed in neurological and ethological tests. Neurological disorders registered externally are obviously caused by damage to the corresponding neural structures in the brain. A pathomorphological study of micro-preparations of the brain of rats in the control group revealed that a significant part of the neurons had signs of serious damage: these necrotic and dystrophic changes took place mainly in the cerebral cortex and dorsal hippocampus.
SFE course administration to rats limited the development of neurological and emotional-behavioral disorders in animals; it had a noticeable neuroprotective effect on the brain structures. The severity of neuron damage in these areas was significantly lower, and their changes were moderate, mainly in the form of mild and reversible dystrophic phenomena.
The tested neuroprotective effect of SFE may be due to active flavonoid compounds present in it. According to many references, after oral administration, flavonoid glycosides, as a rule, undergo enzymatic hydrolysis in the intestinal lumen or enterocytes to aglycone forms, which in turn are absorbed into the bloodstream in a native or metabolized form and, reaching their targets, have a pharmacological effect (Dabeek and Marra 2019). Given that the predominant SFE flavonoids are kaempferol glycosides, it can be assumed that a neuroprotective effect is provided due to the properties of sophoraflavonoloside and kaempferol as its active metabolite.
It is known that oxidative stress and neuroinflammation underlie the progression of neurodegenerative disorders (Kim et al. 2015; Adamu et al. 2024). Studies by many scientists have shown that kaempferol prevents the development of oxidative stress through the mechanisms of stimulating the formation of nuclear erythroid factor (NRF-2) and, consequently, increasing the activities of superoxide dismutase and glutathione peroxidase. Kaempferol is also able to reduce the level of inflammation by suppressing mitogen-activated protein kinase (MAPK) and nuclear factor kappa B (NF-κB), involved in the formation of anti-inflammatory cytokines, and thus reduce neurodegenerative phenomena. In addition, kaempferol affect mitochondrial function, while reducing intracellular calcium levels (Chaubey and Singh 2025). Considering the above, it can be assumed that kaempferol may be responsible for the neuroprotective effect of SFE in ischemic brain disorders.
Conclusion
SFE tested in the rat cerebral ischemia-reperfusion injury model has a neuroprotective effect; it reduces neurological deficits, limits the development of behavioral disorders, and prevents damage to neurons in the cerebral cortex and hippocampus. The SFE neuroprotective effect may be due to the activity of kaempferol glycosides, which are the dominant components of the substance under study. The research results indicate the prospects for further SFE study and the development of drugs based on it for the prevention of ischemic brain disorders.
Additional information
Conflict of interest
The authors declare the absence of obvious and potential conflicts of interest related to the publication of this article.
Funding
The research was carried out as part of the implementation of the research plan of The All-Russian Scientific Research Institute of Medicinal and Aromatic Plants on the topic “Development of technologies for the rational use of raw plant materials in the creation of new medicines and functional foods” (FGUU-2025-0002) and of The Institute of General and Experimental Biology of the Siberian Branch of the Russian Academy of Sciences – “Development of neuroprotective properties from the flora of the Baikal region” (FWSM-2021-0005).
Ethics statement
The experiments were conducted in accordance with the rules adopted by the “European Convention for the Protection of Vertebrate Animals Used for Experiments or Other Scientific Purposes” (Strasbourg 1986). The protocol of the experiment was reviewed and approved by the bioethical Commission of the Institute of General and Experimental Biology of the Siberian Branch of the Russian Academy of Sciences (Minutes No. 2, dated 05/14/2024).
Data availability
All of the data that support the findings of this study are available in the main text
References
§ Adamu A, Li S, Gao F, Xue G (2024) The role of neuroinflammation in neurodegenerative diseases: current understanding and future therapeutic targets. Frontiers in Aging Neuroscience 16: 1347987. https://doi.org/10.3389/fnagi.2024.1347987
§ Bederson JB, Pitts LH, Tsuji M, Nishimura MC, Davis RL, Bartkowski H (1986) Rat middle cerebral artery occlusion: evaluation of the model and development of a neurologic examination. Stroke 17(3): 472-476. https://doi.org/10.1161/01.str.17.3.472
§ Buresh Ya, Bureshova O, Houston DP (1991) Methods And Basic Experiments in Studying the Brain and Behavior. Moscow, 399 pp. [in Russian]
§ Cai H, Zhao MY, Wang CZ, Wang JN, Tang WP, Mao WB, Feng S, Ding FF, Ke J, Shi TT, Wang Y, Yu TH, Xu WY, Wang LN, Chen J, Gong YJ, Zhang S, Xu JF, Chen GJ, Qian Y, Ding YY (2025) Nrf2/STAT3-mediated activation of SLC6A3 underlies the neuroprotective effect of quercetin in ischemic stroke. Phytomedicine 145: 157061. https://doi.org/10.1016/j.phymed.2025.157061
§ Chaubey S, Singh L (2025) Deciphering the mechanisms underlying the neuroprotective potential of kaempferol: a comprehensive investigation. Naunyn-Schmiedeberg’s Archives of Pharmacology 398(3): 2275-2292. https://doi.org/10.1007/s00210-024-03515-8
§ Cheng N, Bell L, Lamport DJ, Williams CM (2022) Dietary flavonoids and human cognition: A meta-analysis. Molecular Nutrition & Food Research 66(21): e2100976. https://doi.org/10.1002/mnfr.202100976
§ Cherdak MA, Mkhitaryan EA, Sharashkina NV, Ostapenko VS, Isaev RI, Seifedinova AB, Runikhina NK, KotovskayaYuV, Tkacheva ON, Yakhno NN (2024) The prevalence of cognitive disorders in older patients in the Russian Federation. S.S. Korsakov Journal of Neurology and Psychiatry. Special editions 124(4-2): 5-11. [in Russian] https://doi.org/10.17116/jnevro20241240425
§ Dabeek WM, Marra MV (2019) Dietary quercetin and kaempferol: bioavailability and potential cardiovascular-related bioactivity in humans. Nutrients 11(10): 2288. https://doi.org/10.3390/nu11102288
§ Danis EG, Mogulkoc R, Baltaci AK (2025) Flavonoids in brain ischemia-reperfusion and their effect on kinases as signaling pathway activity. CNS & Neurological Disorders – Drug Targets 10(24): 750-765. https://doi.org/10.2174/0118715273374176250414051135
§ Guo N, Chen Z, Cao S-Q, Shang F-D (2024) Sophora japonica L. bioactives: Chemistry, sources, and processing techniques. Food Frontiers 5: 1166–1187. https://doi.org/10.1002/fft2.367
§ Flanagan E, Müller M, Hornberger M, Vauzour D (2018) Impact of flavonoids on cellular and molecular mechanisms underlying age-related cognitive decline and neurodegeneration. Current Nutrition Reports 7(2): 49-57. https://doi.org/10.1007/s13668-018-0226-1
§ Kim GH, Kim JE, Rhie SJ, Yoon S (2015) The role of oxidative stress in neurodegenerative diseases. Experimental Neurobiology 24(4): 325-340. https://doi.org/10.5607/en.2015.24.4.325
§ Li Y, Zhang JJ, Chen RJ, Chen L, Chen S, Yang XF, Min JW (2022) Genistein mitigates oxidative stress and inflammation by regulating Nrf2/HO-1 and NF-κB signaling pathways in hypoxic-ischemic brain damage in neonatal mice. Annals of Translational Medicine 10(2): 32. https://doi.org/10.21037/atm-21-4958
§ Merkulov GA (1969) Course of pathohistological technique, Leningrad, 423 pp. [in Russian] Paxinos G, Watson C (2007) The Rats Brain in Stereotaxic Coordinates. New York, 451 pp.
§ Saybel OL, Gulyaev SM, Radimich AI, Ferubko EV, Dargaeva TD (2024) Determination of the flavonoid composition of Sophora japonica fruit extract and assessment of its cerebroprotective activity. Chemical and Pharmaceutical Journal 12(58): 29-34. https://doi.org/10.30906/0023-1134-2024-58-12-29-34 [in Russian]
§ Shadman J, Haghi-Aminjan H, Alipour MR, Panahpour H (2025) The neuroprotective mechanisms of kaempferol in experimental ischemic stroke: a preclinical systematic review. Molecular Neurobiology 62(8): 9527-9544. https://doi.org/10.1007/s12035-025-04848-y
§ Yang J, Ma Y.M, Yang L, Li P, Jing L, Li PA, Zhang JZ (2025) Quercetin alleviates cerebral ischemia and reperfusion injury in hyperglycemic animals by reducing endoplasmic reticulum stress through activating SIRT1. PLoS One 20(4): e0321006. https://doi.org/10.1371/journal.pone.0321006
§ Yang SE, Lien J, Tsai CW, Wu CR (2022) Therapeutic potential and mechanisms of novel simple o-substituted isoflavones against cerebral ischemia reperfusion. International Journal of Molecular Sciences 23(18): 10394. https://doi.org/10.3390/ijms231810394
§ Zeng ZJ, Lin X, Wang PQ, Chen X, Shen CX, Li Y, Gao W (2025) Discovery of a novel MARK4 antagonist from safflower to improve ischemic stroke by inhibiting microglial NLRP3 inflammasome activation. Phytomedicine 144: 156909. https://doi.org/10.1016/j.phymed.2025.156909
Author Contribution
§ Sergey M. Gulyaev, Candidate of Medical Sciences, Senior Researcher at the Laboratory of Experimental Pharmacology, the Institute of General and Experimental Biology of the Siberian Branch of the Russian Academy of Sciences, Ulan-Udeh, Russia; e-mail: s-gulyaev@inbox.ru; ORCID ID: https://orcid.org/0000-0001-8412-5799. The author contributed to the concept development, performing pharmacological studies, and conducting the analysis of the data obtained.
§ Olga L. Saybel, Doctor Habil. of Pharmaceutical Sciences, Head of the Center for Chemistry and Pharmaceutical Technology, All-Russian Scientific Research Institute of Medicinal and Aromatic Plants, Moscow, Russia; e-mail: saybel@vilarnii.ru; ORCID ID: https://orcid.org/0000-0001-8059-5064. The author contributed to the research planning, data analysis, writing and editing the manuscript.
§ Andrey I. Radimich, Senior Researcher at the Department of Chemistry of Natural Compounds, All-Russian Scientific Research Institute of Medicinal and Aromatic Plants, Moscow, Russia; e-mail: vilarnii.radimich@mail.ru; ORCID ID: https://orcid.org/0000-0002-1139-8902. The author contributed to the sophoraflavonoloside isolation and identification.
§ Tamara D. Dargaeva, Doctor Habil. of Pharmaceutical Sciences, Professor, Chief Employee of the Department of Chemistry of Natural Compounds, All-Russian Scientific Research Institute of Medicinal and Aromatic Plants, Moscow, Russia; e-mail: olster@mail.ru; ORCID ID: https://orcid.org/0000-0002-0722-9479. The author contributed to the research planning, writing and editing the manuscript.
§ Tamara D. Rendyuk, Candidate of Pharmaceutical Sciences, Associate Professor of the Department of Pharmaceutical Natural Sciences, Sechenov First Moscow State Medical University (Sechenov University), Moscow, Russia; e-mail: aramat_17@mail.ru; ORCID ID: https://orcid.org/0000-0002-0359-3847. The author contributed to the collection and analysis of raw materials.
Copyright (c) 2025 Gulyaev SM, Saybel OL, Radimich AI, Dargaeva TD, Rendyuk TD

This work is licensed under a Creative Commons Attribution 4.0 International License.
